一生に一度の瞬間を、
最高の笑顔にする。
変わらず、ここに。
親から子まで生涯を共にする歯医者
臨床年数
17年
の矯正認定医が
全ての
矯正を担当
40年間
3代に渡って
承継された
歴史ある
矯正歯科
提携医院
200院以上
累計紹介患者数
4500人以上
ワイヤー矯正
2025年〜2026年
件
マウスピース矯正
2025年〜2026年
件
小児マウスピース矯正
2025年〜2026年
件
※
※アイル矯正歯科をご紹介いただいた件数
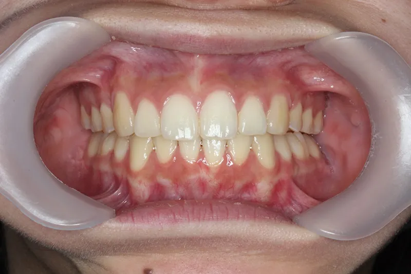
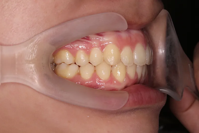
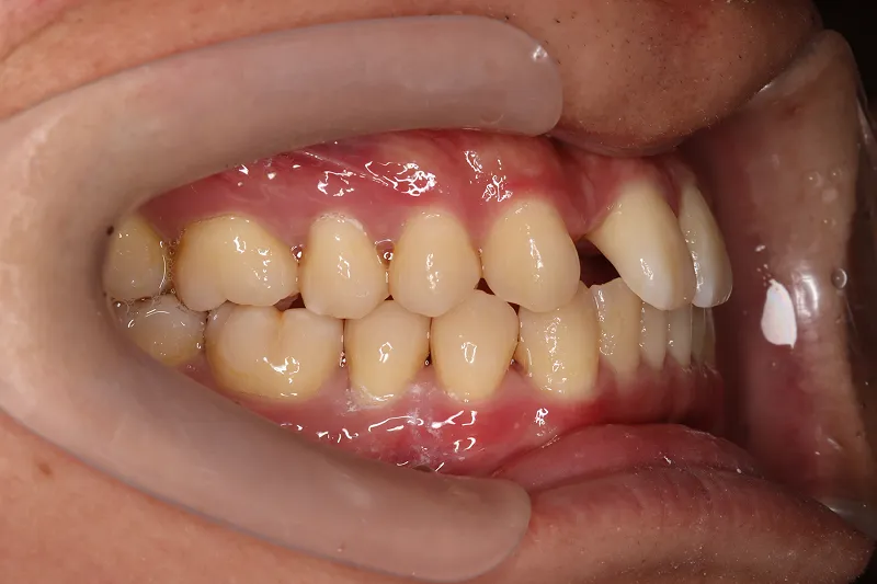
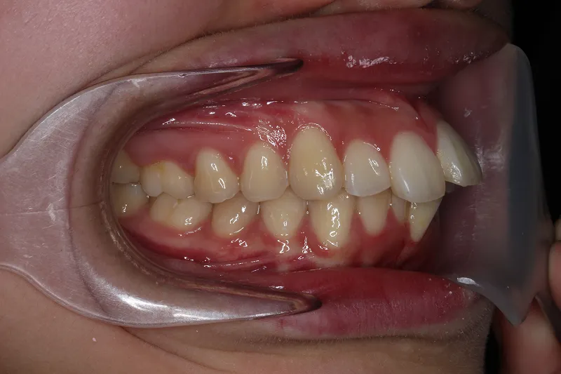
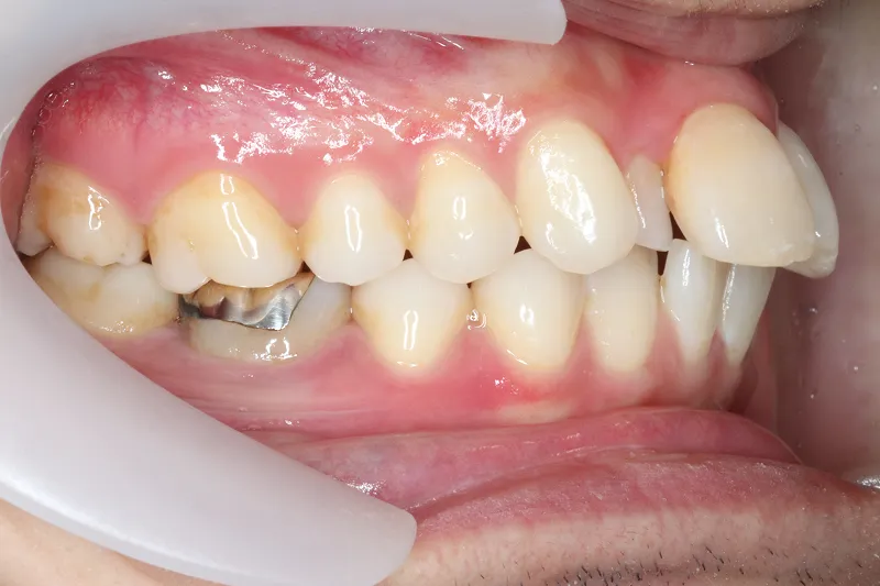
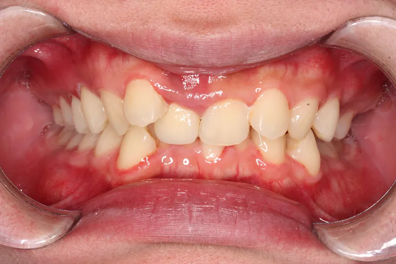
アイル矯正歯科の症例 どんな歯並びのお悩みでも
information
岡崎の矯正歯科アイル矯正歯科のご案内
無料駐車場
完備
マウスピース矯正で
対応できない
難症例 に対応可能
累計矯正件数
5601 件以上
従来の方撮り不要
光学3D口腔内スキャナー
iTero導入
提携医療機関からの
紹介受入
250 施設
臨床年数17年の
矯正認定医が
全ての矯正を担当
News
新着情報
time&access
診療時間・アクセス
診療時間
| 月 | 火 | 水 | 木 | 金 | 土 | 日 | |
|---|---|---|---|---|---|---|---|
| 11:00~12:30 |
|
![]() |
※ | ※ |
|
|
休 |
| 14:30~19:30 |
|
![]() |
※ | ※ |
|
|
休 |
水曜・木曜は休診日交替制
土曜は10:00~11:30 / 13:30~18:30
日曜・祝日は休診日
お支払い方法
Web予約上で空きがなくても対応できる場合もございますので、 ご希望の日時に空きがない場合はお電話下さい。
アクセス
愛知県岡崎市康生通南2丁目30
東海保険・ガーデンビル 2F 旧:OV岡崎ビル
※当院南隣(川沿い)の『ユアーズパーク』内
JR『岡崎』駅より康生町方面行殿橋バス停下車30秒
Concept
アイル矯正歯科から矯正歯科治療をご検討の皆さまへ
人生には、二度と訪れない特別な瞬間があります。
その時、あなたが一番輝く笑顔でいられるように
「一生に一度の瞬間を最高の笑顔にする。」というコンセプトのもと、アイル矯正歯科は皆様の未来づくりをお手伝いしています。
これから迎えるライフイベントや、日々の何気ない瞬間まで。すべてのシーンで、ためらうことなく思い切り笑っていただきたい一心で、患者様一人ひとりの人生に向き合っています。
また、歯並びや口元の印象は、その人の表情や性格、ひいては人生の豊かさにまで深く関わるものです。
だからこそ、私たちはただ「歯を動かす」のではなく、その先にある「心からの笑顔」と「健康な毎日」を見据えた治療を行っています。
さらに、治療期間中も快適に過ごしていただけるよう、最新の知識と技術、そして何でも相談できる温かい雰囲気づくりを心がけています。
矯正歯科治療を始めるにあたり、期間や費用など多くの不安を感じられるのは当然のことです。だからこそ、私たちは「対話」を大切にし、皆様のライフスタイルやゴールに合わせた最適な治療計画をご提案します。
「始めてよかった」と心から思える日が来るように、あなたの人生の節目が、最高に美しい笑顔で彩られるように、私たちが責任を持って伴走いたします。まずは一度、あなたの理想の未来についてお話を聞かせてください。
Commitment
アイル矯正歯科から3つの約束
1
当院は、従来のワイヤー矯正に比べ痛みが大幅に少ないマウスピース矯正「インビザライン」をメインに提供しています。段階的に優しく歯を動かすため、日常生活への負担を最小限に抑えられます。もちろんワイヤー矯正も対応可能です。日本矯正歯科学会の認定医が監修する、無理のない的確な力加減での治療計画により、痛みに不安がある方でも安心して始めていただけます。
2
歯の動きには個人差があるため、最初に決めた計画に固執することはいたしません。日本矯正歯科学会の認定医が常に進捗を確認し、その時々の歯の状態に合わせて治療計画を柔軟にアップデートします。
常に最適な処置を行うことで手戻りや停滞を防ぎ、結果として無駄な期間を省いた、最短ルートで理想の口元を目指します。
3
単に見た目を整えるだけでなく、舌癖・姿勢・呼吸法・噛み合わせなど、口腔機能を複合的に診断します。日本矯正歯科学会の認定医がこれらを網羅した精度の高い計画を立案するため、歯並びが悪くなる根本原因へアプローチが可能になります。機能面から改善することで、治療後も長期にわたり安定し、「後戻り」しにくい口内環境を作り上げます。
feature
アイル矯正歯科の特徴
Point 1目的に合わせた矯正歯科治療が可能
「結婚式や成人式までにきれいにしたい」「スポーツのパフォーマンスを上げたい」といった明確な目標に向けた治療はもちろん、就職活動などの場面で、相手に清潔感や誠実な印象を与えたいというご要望にもお応えします。第一印象は、自信に満ちた笑顔から生まれます。
当院では、患者様のライフイベントや目指すゴールから逆算し、治療期間や装置の調整を柔軟に行うオーダーメイドの治療計画をご提案します。大切なその日を、そしてその先のキャリアを最高の笑顔で迎えていただけるよう、私たちが全力でサポートします。
Point 2多数の提携医院との連携が可能
「結婚式や成人式までにきれいにしたい」「スポーツのパフォーマンスを上げたい」といった明確な目標に向けた治療はもちろん、就職活動などの場面で、相手に清潔感や誠実な印象を与えたいというご要望にもお応えします。第一印象は、自信に満ちた笑顔から生まれます。
当院では、患者様のライフイベントや目指すゴールから逆算し、治療期間や装置の調整を柔軟に行うオーダーメイドの治療計画をご提案します。大切なその日を、そしてその先のキャリアを最高の笑顔で迎えていただけるよう、私たちが全力でサポートします。
Point 3お子様から大人まで幅広い矯正に対応
小さなお子様から成人の方まで、あらゆる世代の矯正歯科治療に対応しています。
特に成長期のお子様には「インビザラインファースト」など、顎の発育を考慮した治療も可能です。
また、当院は40年以上の歴史を持つ歯科医院です。矯正治療は数年単位の通院が必要となるため、「通っている間に医院がなくならないか」という心配は無用ではありません。長きにわたり地域に根差してきた実績と安定した経営基盤があるからこそ、治療完了まで、そしてその後のメンテナンスまで、責任を持って永く寄り添い続けることができます。
Point 4多種多様な矯正歯科治療の実績・症例数が多数
実績の多さは、安心と信頼の証です。当院は1985年の開院から2025年1月までの累計で、6,501件以上の矯正歯科治療実績を誇ります。その内訳は、成人のマウスピース矯正が1,900件以上、小児矯正全体で2,000件以上、小児マウスピース矯正(インビザラインファースト)250件以上にのぼります。
これら膨大な症例データと長年の経験があるからこそ、あらゆる歯並びのパターンを精確に分析できます。過去の成功事例に基づいた診断で、患者様一人ひとりに最適な治療計画と、確実なゴールをご提案いたします。
Point 5マウスピース矯正が対応できない難症例に対応
近年人気のマウスピース矯正ですが、実はすべての症例に万能ではありません。他院で「マウスピースでは難しい」と断られた難症例も、諦めずにご相談ください。
当院は、矯正治療の基礎であり、最も対応幅の広い「ワイヤー矯正」においても深い知識と技術を有しています。ワイヤー単独での治療はもちろん、ワイヤーで土台を整えてからマウスピースへ移行するハイブリッドな手法も可能です。
豊富な引き出しの中から、あなたの歯並びに最適な方法を選び抜き、理想のゴールへと導きます。
dentition
アイル矯正歯科であなたの理想の歯並びを叶えます
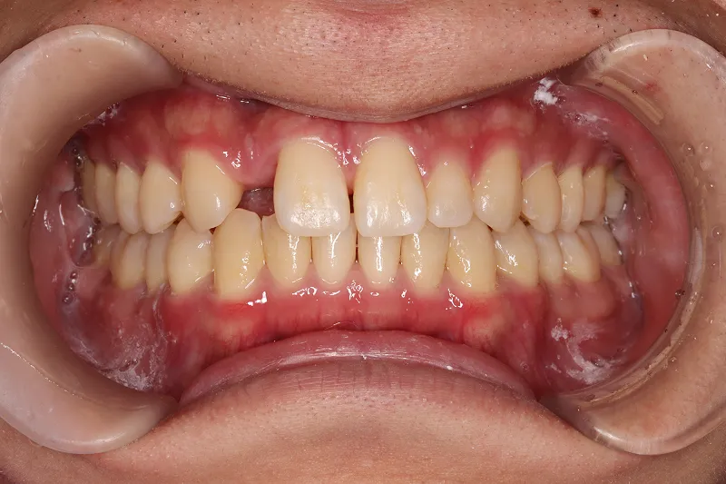
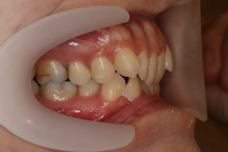
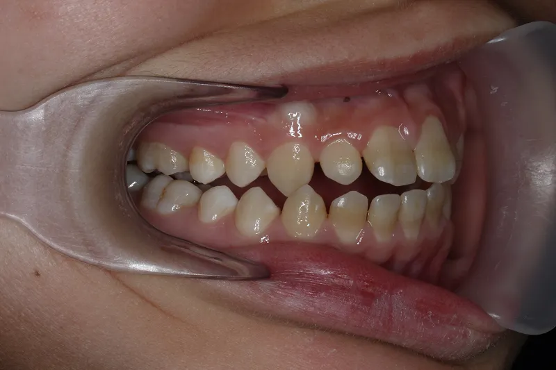
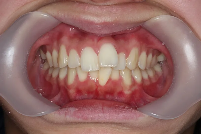
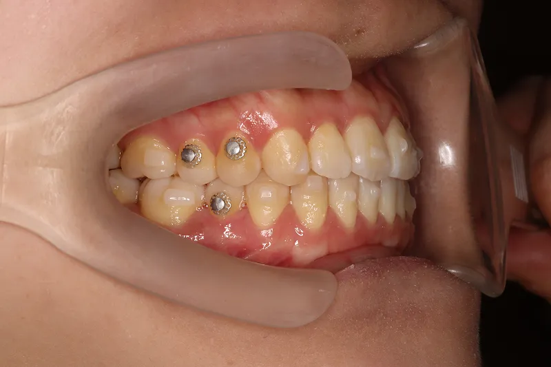
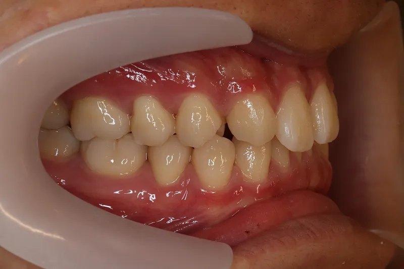
八重歯・歯並びがでこぼこ(叢生)
歯と顎の骨のバランスが悪く歯が並びきらないため、ガタガタに生えてしまっている状態。
症例情報
【治療内容】マウスピース矯正【年齢】30代男性 【治療期間】 3年半【治療費用】1,005,000円【副作用・リスク】疼痛、咬合痛、歯根吸収、歯根露出が生じる可能性があります。
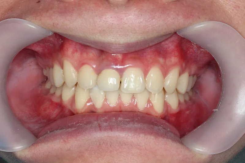
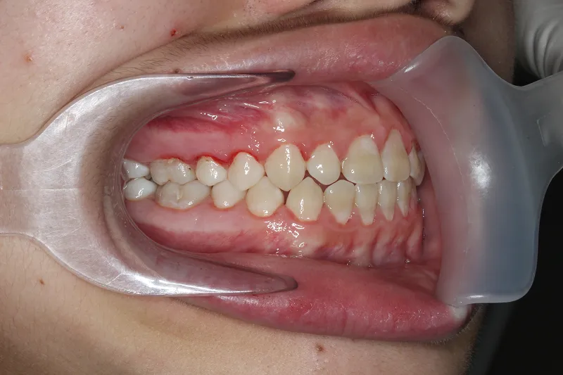
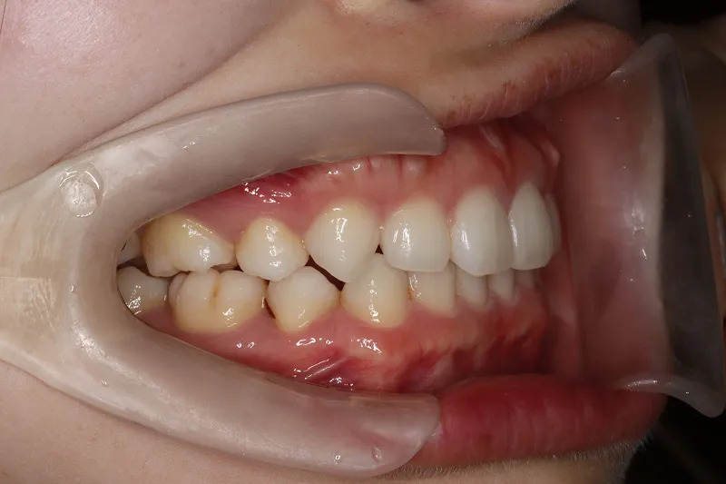
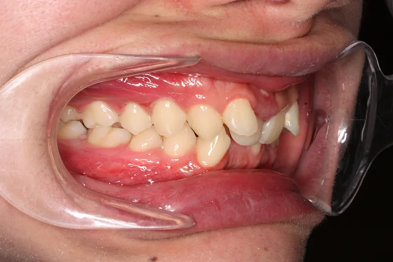
出っ歯(上顎前突)
歯が上顎より大きく前に突出している状態。または、上顎が下顎より明らかに大きい状態です。
症例情報
【治療内容】ワイヤー矯正【年齢】10代女性【治療期間】 2年6か月【治療費用】1,100,000円/税込 (検査料、装置代、調整料含む)【副作用・リスク】疼痛、咬合痛、歯根吸収、歯根露出が生じる可能性があります。
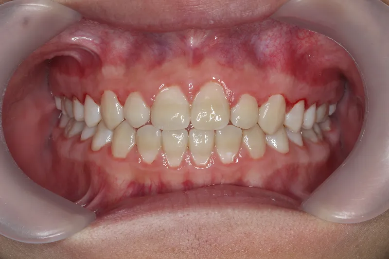
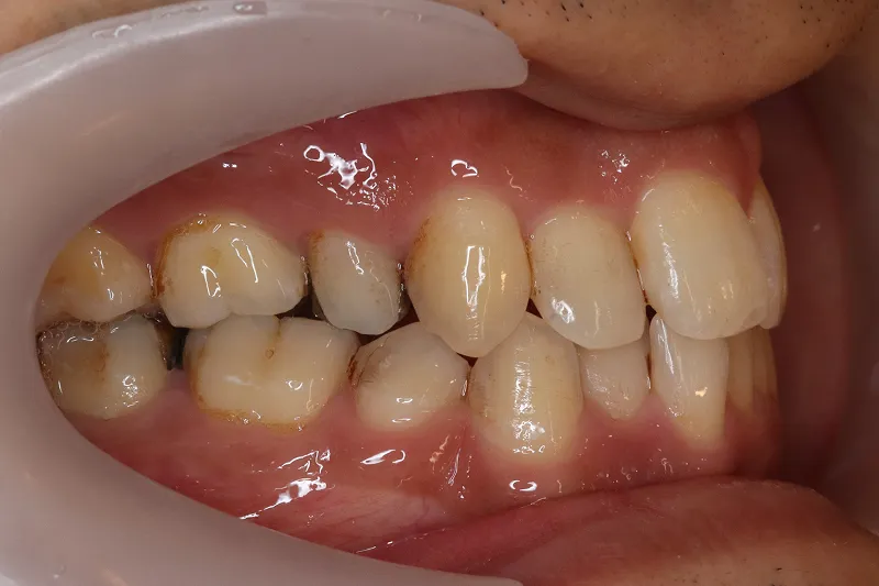
すきっ歯(空隙歯列)
歯の大きさが顎の大きさと比較すると小さいため、歯と歯の間に隙間が空いた状態です。
症例情報
【治療内容】マウスピース矯正【年齢】20代男性【治療期間】 3年5か月【治療費用】1,105,000円【副作用・リスク】疼痛、咬合痛、歯根吸収、歯根露出が生じる可能性があります。
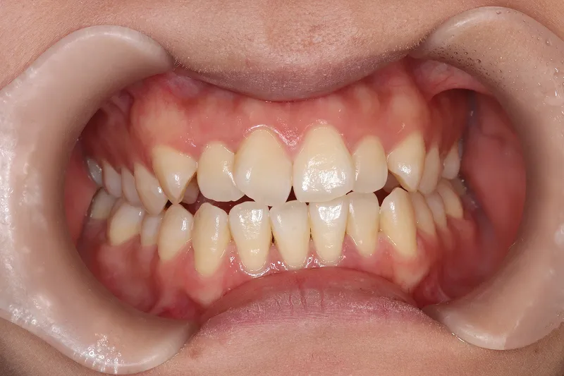
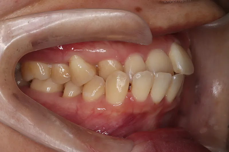
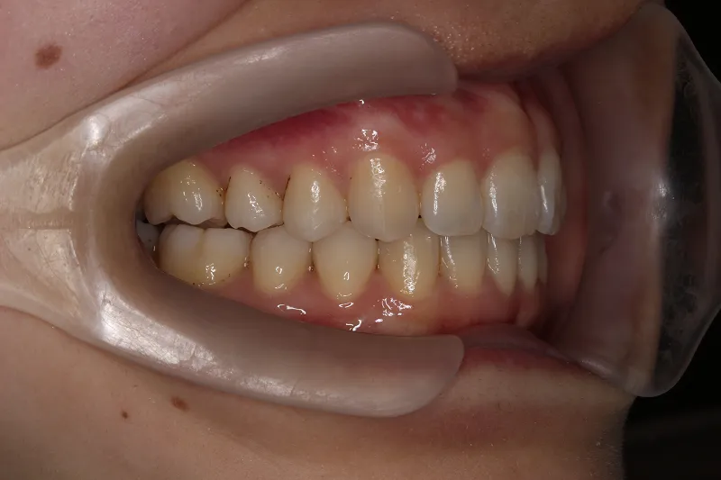
噛み合わせが深い(ディープバイト・過蓋咬合)
噛み合わせが異常に深くなっている状態です。
症例情報
【治療内容】マウスピース矯正【年齢】20代女性【治療期間】 2年6ヶ月【治療費用】1,105,000円【副作用・リスク】疼痛、咬合痛、歯根吸収、歯根露出が生じる可能性があります。
受け口・しゃくれ(反対咬合)
下の歯が上の歯よりも前に出ている状態です。
症例情報
【治療内容】マウスピース矯正【年齢】 30代女性【治療期間】 1年8か月【治療費用】1,005,000円【副作用・リスク】疼痛、咬合痛、歯根吸収、歯根露出が生じる可能性があります。
前歯が閉じられない(開咬)
上下の歯が噛み合っていない状態です。
症例情報
【治療内容】マウスピース矯正【年齢】 20代女性【治療期間】 2年【治療費用】1,005,000円【副作用・リスク】疼痛、咬合痛、歯根吸収、歯根露出が生じる可能性があります。
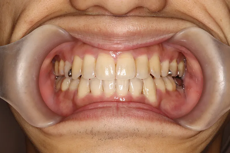
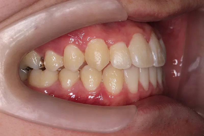
交叉咬合(こうさこうごう・クロスバイト)
上下の歯の噛み合わせが逆向きになっている状態です。
症例情報
【治療内容】ワイヤー矯正【年齢】10代男児【治療期間】 2年2ヶ月【治療費用】96万(検査料、装置代、調整料含む) 【副作用・リスク】疼痛、咬合痛、歯根吸収、歯根露出が生じる可能性があります。
口ゴボ(上下顎前突)
一般的に口ゴボという状態は、口が明らかに突出した状態です。
症例情報
【治療内容】ワイヤー矯正【年齢】10代女性【治療期間】 2年6か月 【治療費用】1,100,000円/税込 (検査料、装置代、調整料含む)【副作用・リスク】疼痛、咬合痛、歯根吸収、歯根露出が生じる可能性があります。
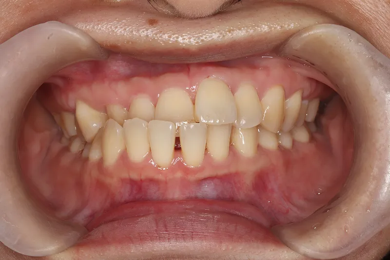
上下の前歯の中心線がずれている(正中の不一致)
歯の大きさが顎の大きさと比較すると小さいため、歯と歯の間に隙間が空いた状態です。
症例情報
【治療内容】マウスピース矯正【年齢】20代女性 【治療期間】 3年7か月【治療費用】1,005,000円【副作用・リスク】疼痛、咬合痛、歯根吸収、歯根露出が生じる可能性があります。
scene
結婚式・就職・成人式など目的・シーン別からあなたに合った矯正歯科治療を
-
結婚式・成人式の方
-
就職活動中の方
-
スポーツが趣味・仕事の方
結婚式・成人式の方
面接官に与える第一印象は、採用を左右する重要な要素です。 整った歯並びと清潔感のある口元は、自信に満ちた表情を生み出し、あなたの誠実さや魅力を最大限に伝えます。「面接中に装置が見えるのが不安」という方には、透明で目立ちにくいマウスピース矯正がおすすめです。見た目を気にせず活動に集中できるようサポートいたします。社会人としての好スタートを、自信ある笑顔で切りひらきましょう。
就職活動中の方
噛み合わせは、身体のバランスや瞬発力など、スポーツのパフォーマンス向上に深く関わっています。 当院では、見た目の改善だけでなく、奥歯でしっかりと「噛める」機能的な歯並びを目指します。また、マウスピース矯正なら、接触プレー時の口内トラブル(ワイヤーによる粘膜の怪我など)のリスクも低減できます。競技に集中しながら安全に治療を進めたいアスリートの方や、スポーツ愛好家の方に最適です。
スポーツが趣味・仕事の方
「一生に一度の晴れ舞台」を、最高の笑顔で写真に残したい方へ。 当院では、挙式や式典などの大切な日程を考慮し、その日に向けてベストな状態で迎えられるよう柔軟に配慮いたします。当院が取り扱う「マウスピース矯正(インビザライン)」なら、装置は透明で目立ちにくく、何より「ご自身で取り外し」が可能です。 結婚式や成人式の当日はもちろん、前撮りの際だけ装置を外して撮影に臨むことができるため、矯正器具の見た目を気にする必要がありません。「写真に残るから…」と諦めていた方も、大切な日を心置きなく思い切り楽しんでいただけるよう、私たちが全力でサポートします。
Contact
LINEで矯正・歯並び相談
対面で相談することに対抗がある、初めての矯正歯科にいくことに勇気がいる、
電話でか相談するのも勇気がいる、そもそも矯正が必要なのかも分からない...。
当院では、気軽に相談できる方法として
LINEで矯正や歯並びの相談を受ける「LINE相談」を行っています。
症状やお悩みについてご不明点など小さなことでも良いのでご相談ください。
一人一人に適した治療法などについて、すべてのメッセージに歯科医師が返信します。
step1 友だち追加
step2
「患者登録をする」⇒
「いいえ(新規登録)から
質問事項に沿ってご回答
step3
新規登録が完了後に
質問事項をお送りいただくことで
医師からの返信が届きます
flow
矯正歯科治療の流れ
Greeting
院長紹介
だからこそ、「担当医の実績」をご確認ください。
私の原点は、幼少期の実体験にあります。 多くの患者様と向き合い確信したのは、「歯並びの真価は未来に現れる」ということ。年齢を重ねてから歯を失い、後悔する方を一人でも減らしたいのです。矯正は「今の笑顔」と「未来の健康」への投資です。一生に一度の晴れ舞台を最高のものにし、その先も生涯ご自身の歯で過ごせるように。数十年先まで見据えた治療で、あなたの人生に寄り添います。
略歴
2008年
東京歯科大学歯学部卒業
2009年
東京歯科大学歯学部附属病院臨床研修修了
2012年
東京医科歯科大学大学院医歯学総合研究科顎顔面矯正学分野矯正歯科専攻生課程修了
2012年
~
2018年
千葉県内矯正歯科医院勤務、医療法人社団佑健会勤務
資格・所属学会
・日本矯正歯科学会認定医
・インコグニト認定医
・インビザライン認定医
・日本矯正歯科学会
・東京矯正歯科学会
・日本顎変形症学会
・日本口蓋裂学会
当院の治療を支える
各分野のエキスパート
アイル矯正歯科
歯科医師時崎 匡史
Mikami Tomohiko
私の願いは、矯正歯科治療を通じて自信に満ちた笑顔と素晴らしい人生をお届けすることです。 ためらいのない笑顔は「一生に一度の瞬間」を輝かせ、整った歯並びは生涯美味しく食事ができる「一生の財産」となります。 親から子へ、世代を超えた健康のパートナーとして。皆様の豊かな人生を、変わらぬ想いで支え続けます。
略歴
・鶴見大学卒業
・歯科医師免許取得
・日本矯正歯科学会認定医取得
アイル矯正歯科
歯科医師伊藤
Mikami Tomohiko
矯正治療は、一生のうちに何度も経験するものではありません。だからこそ、「何年もかかるのでは?」「抜歯は必要?」といった不安を抱えて当然です。
当院が大切にしているのは、患者様との対話です。ただ歯並びを整えるだけでなく、その先にある「自信を持って笑える毎日」を一緒に描けるよう、納得のいくまで丁寧にご説明させていただきます。
特にお子様の矯正では、成長の力を利用することで、無理なく健康な顎の発育を促すことができます。私自身、一人の歯科医師として、そして皆様の身近な相談相手として、お子様の成長を一緒に見守っていければ幸せです。
「相談してよかった」と思っていただけるよう、最新の技術と真心を持ってサポートいたします。まずはリラックスして、あなたのお悩みをお聞かせください。
略歴
・歯科医師
・医学博士
資格・所属学会
・日本成人矯正歯科学会
FAQ









