LINEで予約 WEB予約 0564-24-4188

症例紹介

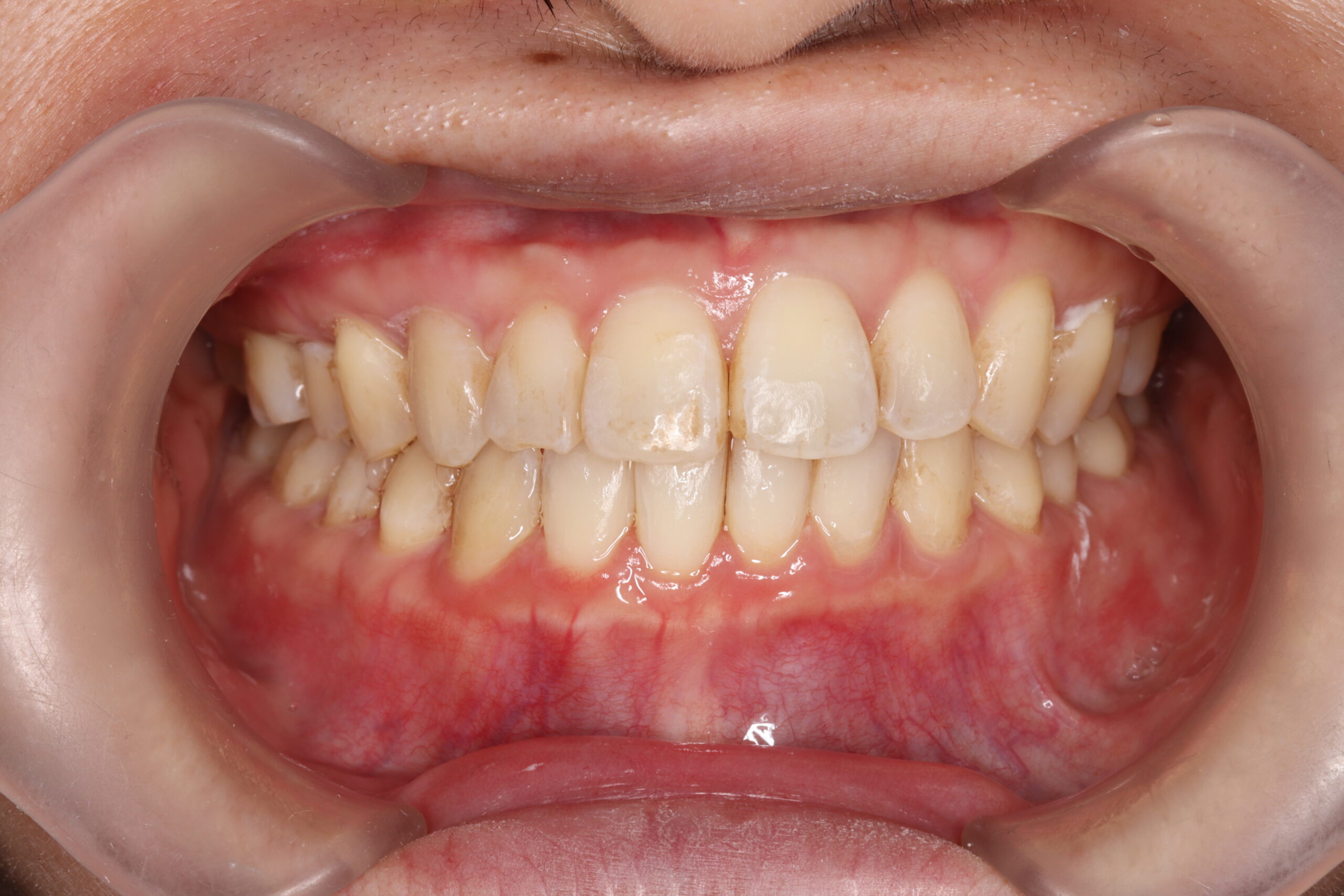
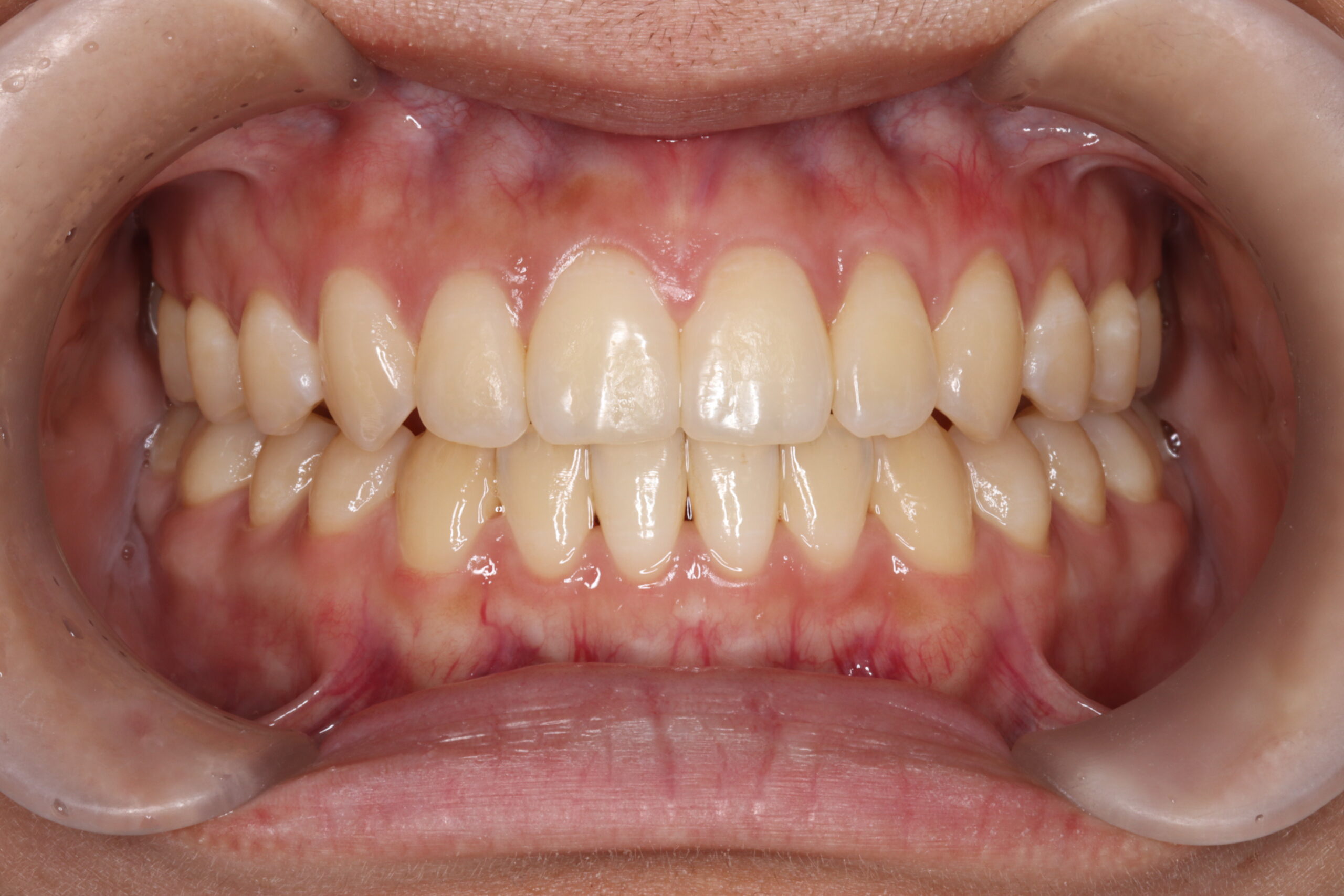
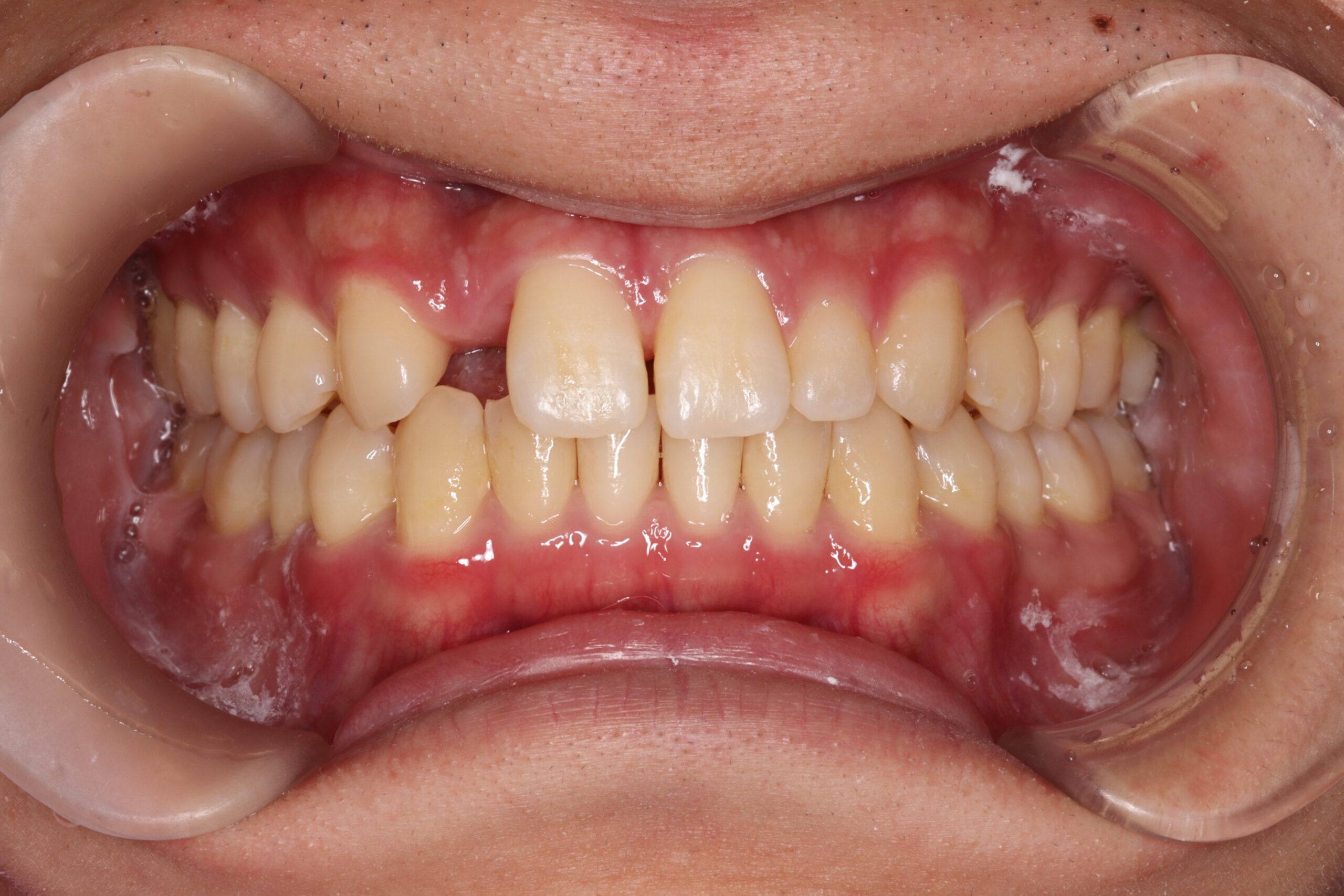
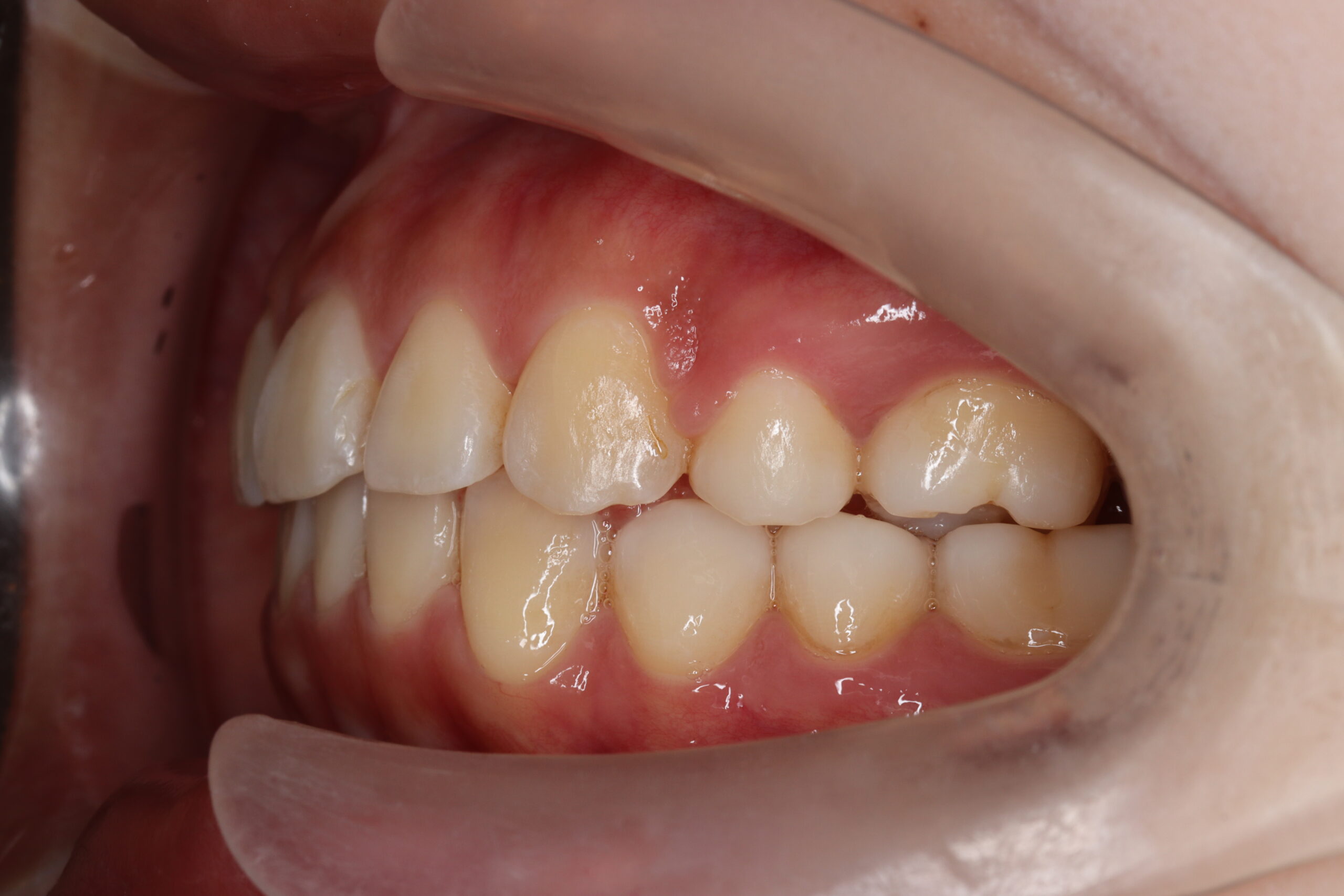
Before After

20代女性 過蓋咬合(ディープバイト)

症例情報

主訴:過蓋咬合(ディープバイト)
期間:2年半
処置:左上4番(小臼歯)抜歯
治療費:1,100,000円+税
リスク・副作用:疼痛、咬合痛、歯根吸収、歯根露出が生じる可能性があります。

詳細を見る
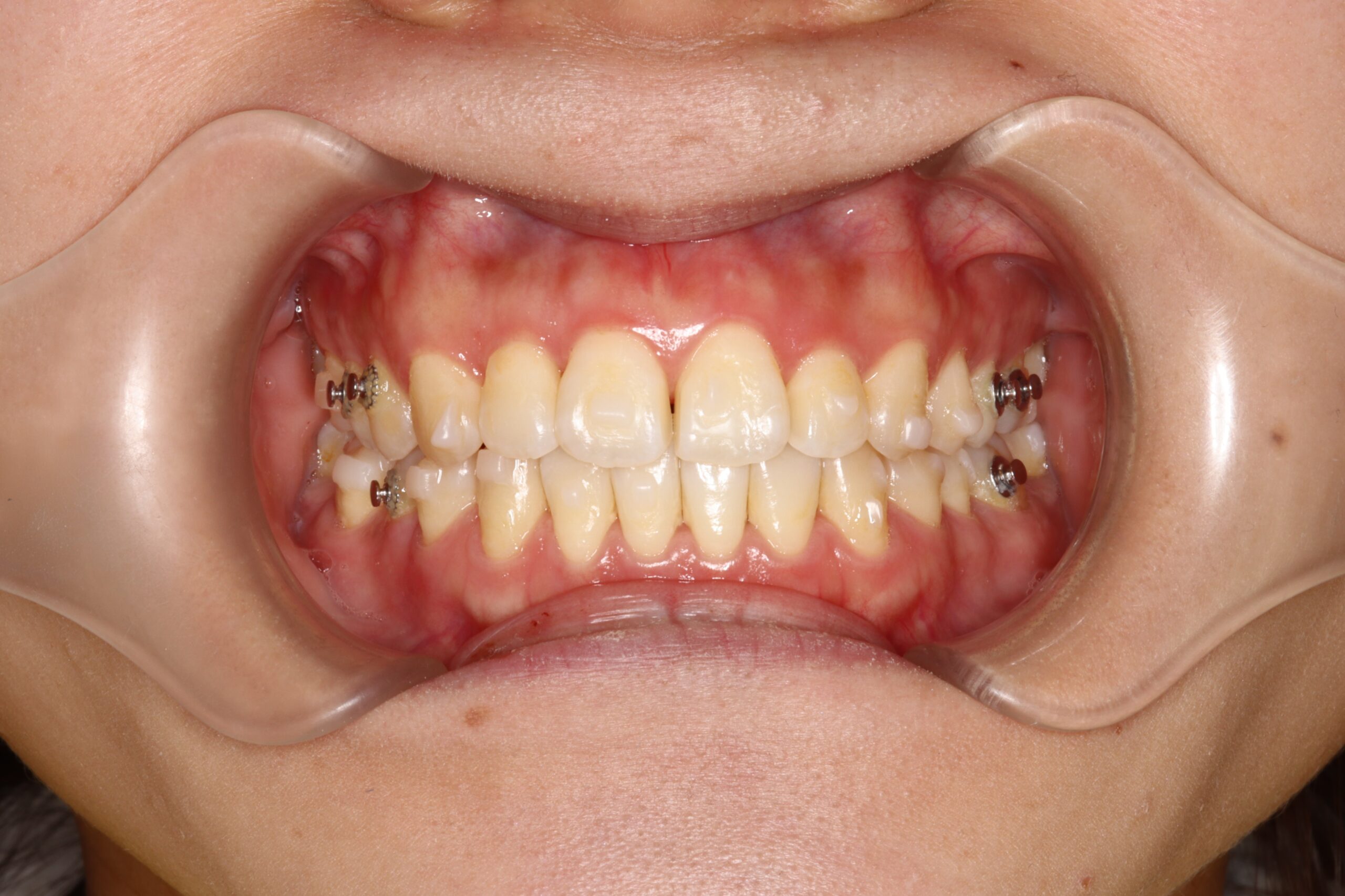
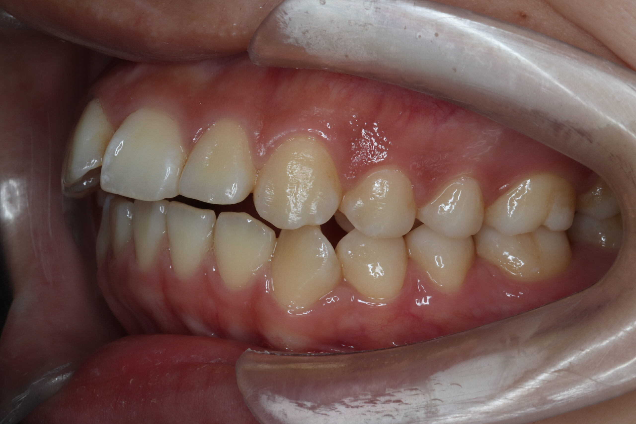
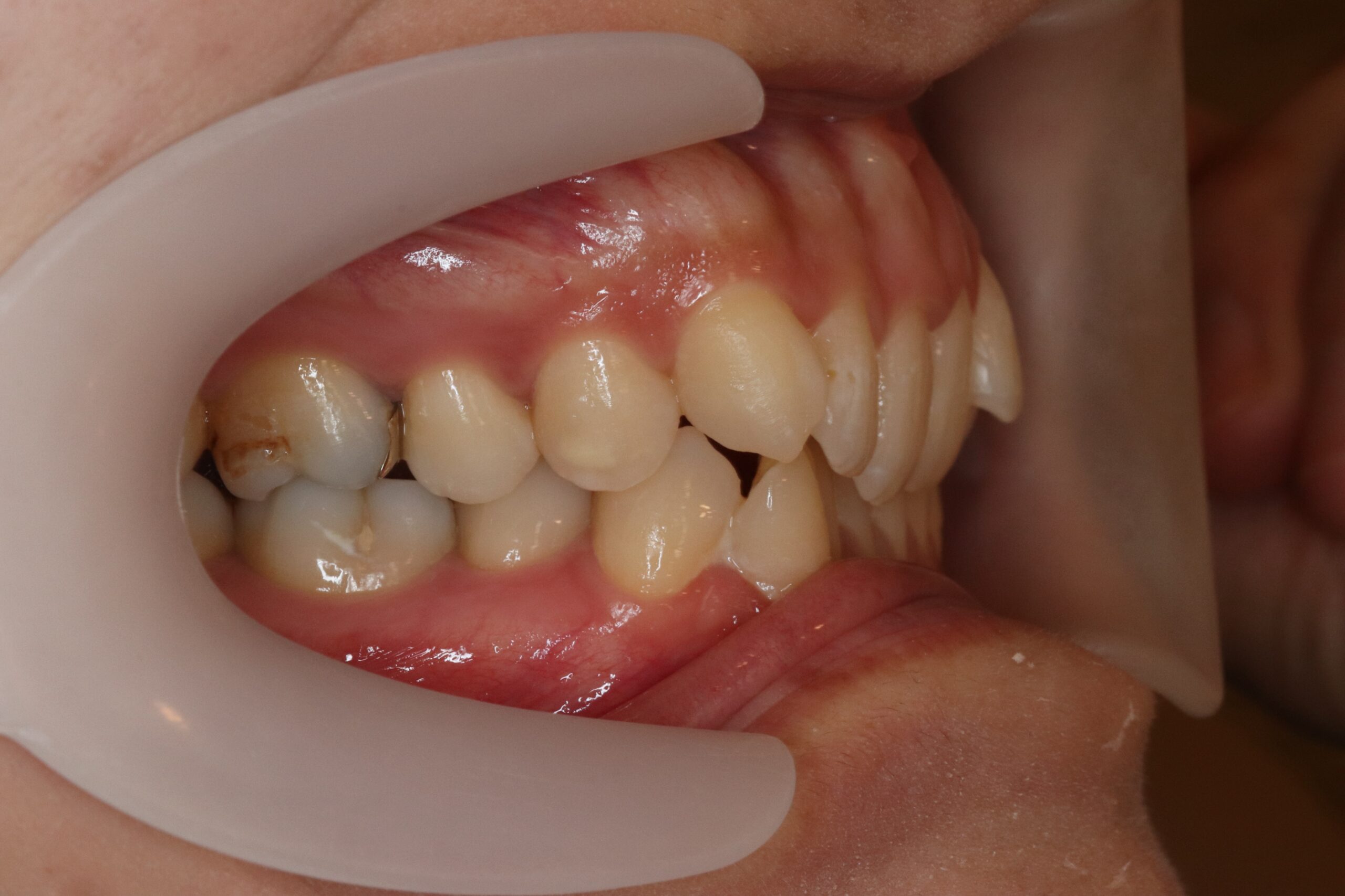
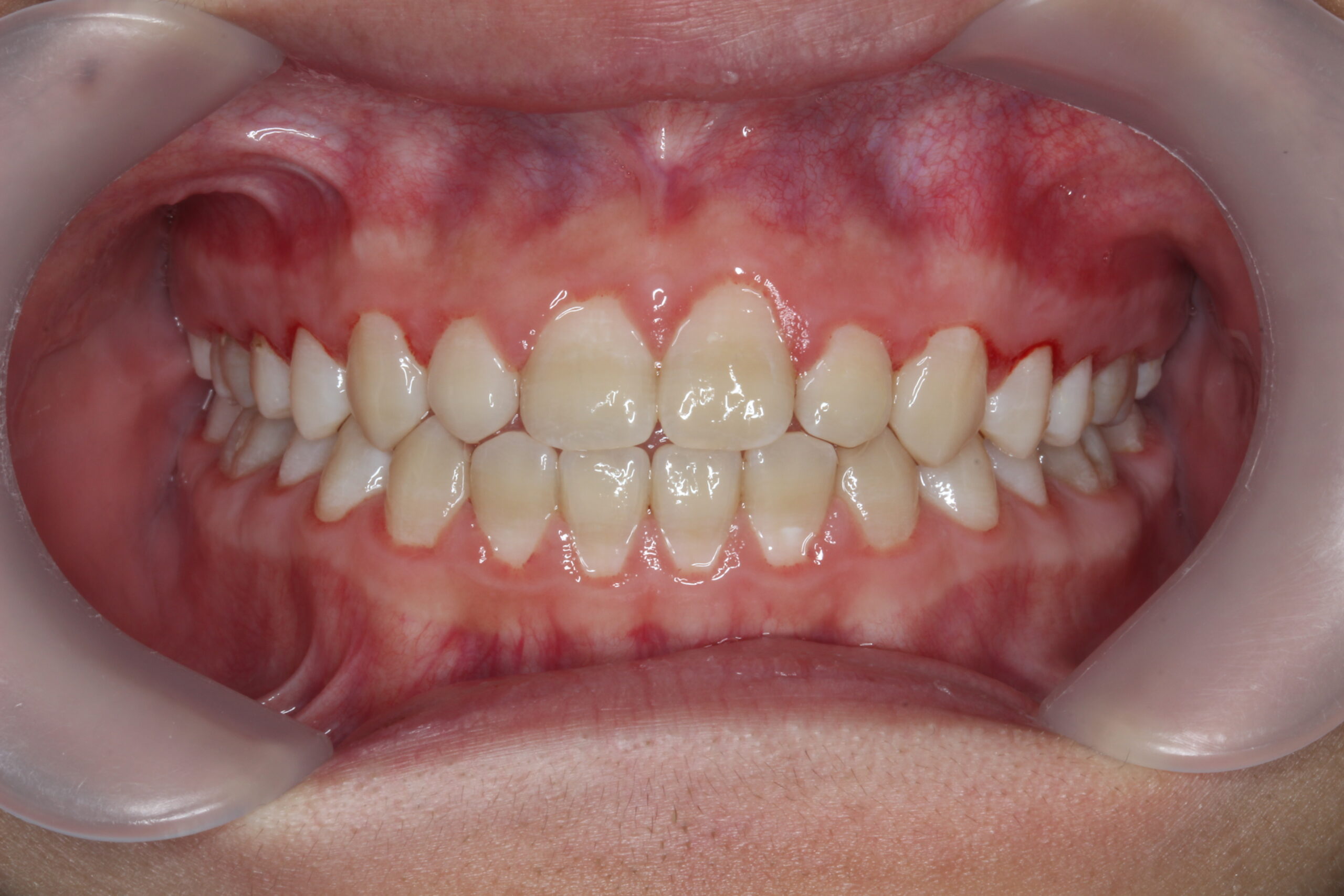
Before After

20代男性 過蓋咬合(ディープバイト)

症例情報

主訴:過蓋咬合(ディープバイト)
期間:2年半
処置:抜歯(親知らず4本)、IPR
治療費:1,100,000円+税
リスク・副作用:疼痛、咬合痛、歯根吸収、歯根露出が生じる可能性があります。

詳細を見る
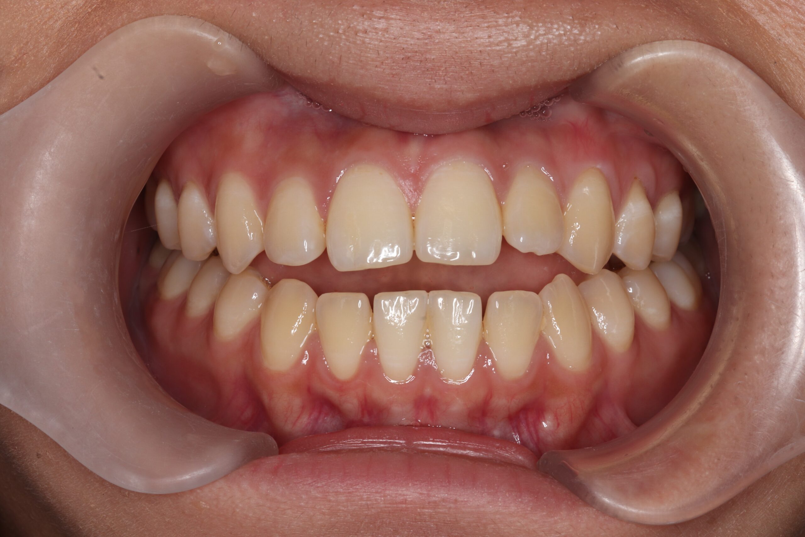
Before After

30代女性 過蓋咬合(ディープバイト)

症例情報

主訴:過蓋咬合(ディープバイト)
期間:2年2か月
処置:左上6番(大臼歯)抜歯
治療費:1,100,000円+税
リスク・副作用:疼痛、咬合痛、歯根吸収、歯根露出が生じる可能性があります。

詳細を見る
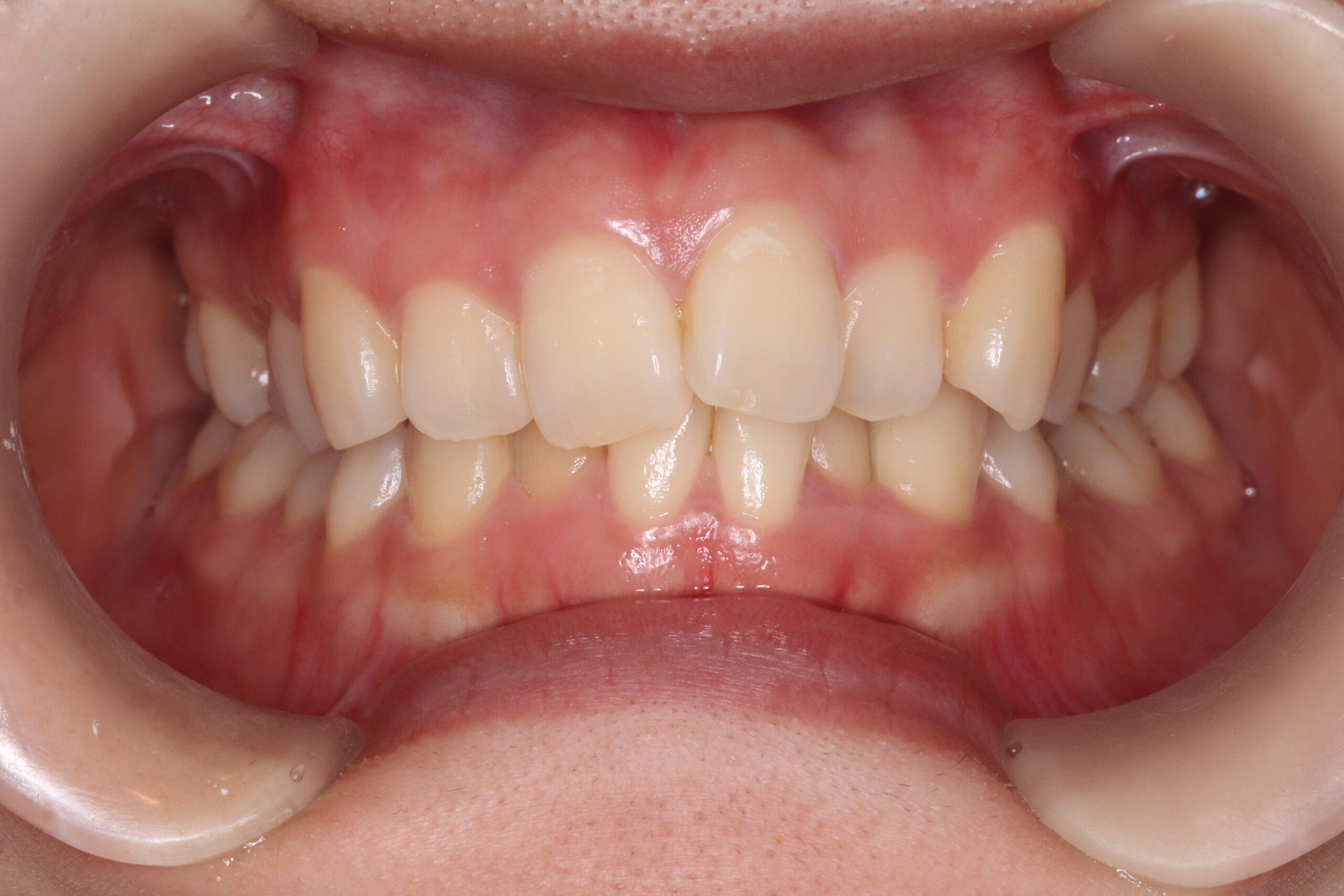
Before After

20代女性 開咬

症例情報

主訴:開咬
期間:2年
処置:左右7番(大臼歯)抜歯
治療費:1,100,000円+税
リスク・副作用:疼痛、咬合痛、歯根吸収、歯根露出が生じる可能性があります。

詳細を見る
Before After

20代女性 開咬

症例情報

主訴:開咬、正中偏位
期間:2年
処置:左右7番(大臼歯)抜歯、 インビザライン治療
治療費:1,100,000円+税
リスク・副作用:疼痛、咬合痛、歯根吸収、歯根露出が生じる可能性があります。

詳細を見る
Before After

20代男性 空隙歯列

症例情報

主訴:過蓋咬合(ディープバイト)
期間:3年5か月
処置:非抜歯
補足:右上2番が元々欠損
治療費:1,100,000円+税
リスク・副作用:疼痛、咬合痛、歯根吸収、歯根露出が生じる可能性があります。

詳細を見る
Before After

10代男性 交叉咬合

症例情報

主訴:交叉咬合
期間:2年2か月
処置:非抜歯、ワイヤー矯正治療
治療費:96万+税
リスク・副作用:疼痛、咬合痛、歯根吸収、歯根露出が生じる可能性があります。

詳細を見る
Before After

10代女性 上下顎前突

症例情報

主訴:上下顎前突
期間:2年6か月
処置:上下左右1本ずつ抜歯、ワイヤー矯正治療
治療費:1,100,000円+税
リスク・副作用:疼痛、咬合痛、歯根吸収、歯根露出が生じる可能性があります。

詳細を見る
Before After

30代女性 交叉咬合

症例情報

主訴:交叉咬合
期間:1年8か月
処置:非抜歯
治療費:1,100,000円+税
リスク・副作用:疼痛、咬合痛、歯根吸収、歯根露出が生じる可能性があります。

詳細を見る
Before After

20代女性 上顎前突

症例情報

主訴:上下前歯がガタガタ
期間:3年
処置:治療途中で左右下8番(親知らず)抜歯、治療途中でワイヤー併用
治療費:1,100,000円+税
リスク・副作用:疼痛、咬合痛、歯根吸収、歯根露出が生じる可能性があります。

詳細を見る
Before After

20代女性 上顎前突

症例情報

主訴:上の前歯が出ている、口元が出ている
期間:2年2か月
処置:左右下8番(親知らず)抜歯
補足:左上2番(側切歯)先天的欠損
治療費:1,100,000円+税
リスク・副作用:疼痛、咬合痛、歯根吸収、歯根露出が生じる可能性があります。

詳細を見る
Before After

20代女性 正中不一致

症例情報

主訴:正中不一致
期間:3年7か月
処置:左右下8番(親知らず)抜歯
治療費:1,100,000円+税
リスク・副作用:疼痛、咬合痛、歯根吸収、歯根露出が生じる可能性があります。

詳細を見る
〒444-0044 愛知県岡崎市康生通南2丁目30
東海保険・ガーデンビル 2F 旧:OV岡崎ビル

診療時間

11:00~12:30
14:30~19:30

水曜・木曜は休診日交替制

土曜は10:00~11:30 / 13:30~18:30

日曜・祝日は休診日

マップ

アクセス

駐車場マップ

アクセス
無料専用駐車場を完備

無料専用駐車場を完備※当院南隣(川沿い)の『ユアーズパーク』内
名鉄『東岡崎』駅より徒歩8分
JR『岡崎』駅より康生町方面行殿橋バス停下車30秒

Web予約上で空きがなくても対応できる場合もございますので、 ご希望の日時に空きがない場合はお電話下さい。

マップ

アクセス

駐車場マップ

アクセス

お支払い方法

当院では、クレジットカードの使用、分割払い、ローンでのお支払いが可能です。
※保険診療費のお支払いにはカード、ローンのご利用ができません。