- 2008年 東京歯科大学 歯学部卒業
- 2009年 東京歯科大学 歯学部附属病院臨床研修修了
- 2012年 東京医科歯科大学 大学院医歯学総合研究科顎顔面矯正学分野矯正歯科専攻生課程修了
- 2012年~2018年 千葉県内矯正歯科医院勤務、医療法人社団佑健会勤務
岡崎市でマウスピース矯正(インビザライン矯正)ならアイル矯正歯科
〒444-0044 愛知県岡崎市康生通南2丁目30 東海保険・ガーデンビル2F 旧: OV岡崎ビル
岡崎市内で
インビザライン矯正を受けられる方の
3人に1人が
アイル矯正歯科を選んでいます
マウスピース矯正
インビザライン
invisalign
提携医院数
250件以上
マウスピース矯正
1,900件以上
矯正症例件数
6,501件
臨床年数17年以上の
矯正認定医が
全ての矯正歯科治療を
担当
常勤の
女性医師
が在籍
/ 一生に一度の大事なことだからこそ /
1人で悩まず
お気軽にご相談ください
このようなお悩みはありませんか?
- 歯並びが気になって笑えない
- もし失敗したらどうしよう
- 痛い治療に関して恐怖心がある
- 就職活動・結婚式・前撮りを控えている
- 他院で相談したけど簡単な説明で終わった
- 矯正にお金と時間をかける意味はあるのか
- 今さら遅いのではないか、いつまで続く?
- クリニック選びのポイントが分からない
- 自分の歯並びがマウスピース矯正で治るのか
アイル矯正歯科のマウスピース矯正(インビザライン矯正)
マウスピース矯正の注意点
矯正歯科治療を検討の方はご注意ください!
突然ですが
自動車の免許がなかったらどうなるでしょう?
きっと事故が増えます。
今、日本の矯正歯科治療でも同様のことが起きています。
現在、日本では「矯正歯科治療専用の国家資格」は存在せず、歯科医師免許を持っていれば誰でも矯正歯科治療を行うことができます。
矯正用マウスピースの人気が高まっていることや、ワイヤー矯正に比べて導入が比較的容易であることから、矯正治療を専門に扱っていなかった歯科医院でも導入を始めるケースが増えています。
そのせいで・・・
矯正が終わったはずなのに
イメージしていた
歯並びにならなかった
矯正を
やり直したい
矯正が
全然終わらない
矯正後に
元に戻ってしまった
通いづらくて
途中で挫折
矯正後なのに
かみ合わせに違和感
矯正費用が
高くなった
といった声が
多く寄せられます。
このような後悔をしないために
マウスピース矯正は
(インビザライン矯正)
は歯科医師の
歯科医師の技術と経験の差が結果に大きく影響する医療
だからこそ歯科医院選びが重要です。
歯科医院選びで迷い、マウスピース矯正(インビザライン矯正)で後悔する人をこれ以上増やさないために
クリニック選びのチェックリストをご用意しました。
マウスピース矯正(インビザライン矯正)で
後悔しないための
クリニック
選びチェックリスト
日本矯正歯科学会の認定医が治療に関わるか
マウスピース/ワイヤー等から適応に合う治療法提案があるか
虫歯・歯周・咬合・顎関節まで詳細に総合診断してくれるか
破損・紛失・痛みなど緊急時の対応体制が整っているか
メリットだけでなく、リスク・限界・後戻りまで説明があるか
類似症例の実績(Before/After)と症例数が確認できるか
根拠とゴールまで示す、明瞭で丁寧な治療計画説明か
滅菌・感染対策の基準(器具の使い回し防止等)が明確か
引っ越しなど通院が不可能になった際の選択肢があるか
通院頻度・診療時間・アクセスが現実的で通いやすいか
岡崎市内で
インビザライン矯正を受けられる方の
3人に1人がアイル矯正歯科を
選んでいます
当院では真剣にあなたの悩み・矯正の相談をお伺いするためにプライベートにも配慮し、
1日2人限定で院内貸し切りかつ完全個室でご相談を承ります。
マウスピース矯正(インビザライン矯正)とは
マウスピース矯正(インビザライン矯正)とは、透明で薄い取り外し式の矯正装置 (アライナー)を装着し、一定期間ごとに新しいものへ交換しながら、歯を少しずつ理想の位置へ動かしていく矯正歯科治療です。目立ちにくく、日常生活になじみやすいのが特長です。
このようなお悩みが
解決できるかもしれません
周囲にバレたくない
歯を整えたい
を解消したい
通えるか不安
食事を楽しみたい
心配
マウスピース矯正(インビザライン矯正)の
メリット
Merit 01
矯正が目立ちにくい
透明な素材なので、装着していても目立ちません。人前に出る機会が多い方も安心です。
Merit 02
痛みが少ない
弱い力で徐々に歯を動かすため、従来の矯正装置に比べて痛みが少ないです。頬や唇の擦れが少なく口内炎も出にくいです。
Merit 03
自由に取り外しができる
食事や歯磨きのときに加えて、大切な撮影やプレゼン時などイベント時にも外せるので、普段通りの生活を送ることができます。
Merit 04
通院頻度が少ない
自宅で交換して進められ、1~3ヶ月に一度程度のチェック中心の通院で済み、忙しい方でも続けやすいです。
Merit 05
歯を抜かない矯正の可能性が広がる
歯を動かすスペースを確保しやすいため、抜歯を避けた矯正が行える場合があります。
Merit 06
金属アレルギーの心配がない
プラスチック製のマウスピースを使用するため、金属アレルギーの心配がありまません。
マウスピース矯正(インビザライン矯正)で
重度の症例は難しい?
マウスピース矯正(インビザライン矯正)は技術の進化により、以前に比べて多くの難症例に対応が可能になってきました。しかし、現時点ですべての症例に対応でき、治療結果が必ずしも患者様の望む歯並びになるかと言うとそうではありません。
「どんな難症例にも対応可能」
「他院で断られた症例にも対応可能」
と謳うクリニックも多いですが、矯正歯科治療には限界があることを理解しておく必要があります。特に複雑な歯の移動が必要なケースでは、ワイヤー矯正が適している場合もあります。
マウスピース矯正(インビザライン矯正)とワイヤー矯正の併用が
選択肢としてあることが重要
当院では、40年にわたるワイヤー矯正での豊富な実績があるため、マウスピース矯正(インビザライン矯正)だけでは対応が難しいケースでも、ワイヤー矯正を組み合わせることで最適な治療計画をご提案できます。
難しいケースでなくても、「もしもの場合」に備えて、
最後の仕上げや治療工程の一部をワイヤー矯正にできる可能性があることが重要です。
また、日本矯正歯科学会認定医の資格を持つ歯科医師がすべての矯正歯科治療を担当しているため、高度な専門知識に基づいた、質の高い矯正歯科治療を安心して受けていただけます。
マウスピース矯正(インビザライン矯正)と
ワイヤー矯正の違い
ワイヤー矯正は、歯にブラケットを固定し、ワイヤーを通して歯を動かす、長年実績のある矯正方法です。一方、マウスピース矯正(インビザライン矯正)は、透明で取り外し可能な装置を使用する矯正方法です。近年、マウスピース矯正(インビザライン矯正)が広まってきましたが、現時点で多くの歯科医師はマウスピース矯正(インビザライン矯正)の経験が浅いのが現状です。
矯正歯科治療の成功は、精密な検査に基づいた適切な治療計画の精度に大きく左右されます。この治療計画の精度は、複雑な症例を多く扱うワイヤー矯正で培われた基本的な技術が支えています。
マウスピース矯正(インビザライン矯正)を最近導入したばかりで、それ以前に包括的な矯正歯科治療の経験が少ないクリニックではなく、ワイヤー矯正を含む矯正歯科治療全般の豊富な経験を持つ専門医による適切な適応診断を受けることが重要です。
マウスピース矯正(インビザライン矯正)と
他の矯正歯科治療との違いまとめ表
他の矯正歯科治療との違いまとめ表
|
マウスピース矯正
(インビザライン矯正)
|
表側(舌側)
ワイヤー矯正
|
裏側(舌側)
ワイヤー矯正
|
|
|---|---|---|---|
| 取り外し |
|
|
|
| 見た目 |
|
|
|
| 食事 |
|
|
|
| ケア |
|
|
|
| 痛み |
|
|
|
| 虫歯・歯周病リスク |
|
|
|
| 発音のしやすさ |
「サ行・タ行・ラ行」で軽い問題なし舌足らず感が出やすい数日で慣れる |
|
「サ行・タ行・ラ行」で軽い問題なし舌足らず感が出やすい |
| 通院回数 |
|
|
|
| 適応できる症例の幅 |
|
|
|
| 費用 |
|
|
|
マウスピース矯正(インビザライン矯正)は
ワイヤー矯正と比較してメリットがたくさんあるから
多くの方に選ばれています
装置の調整が
頻繁に必要ではないから
通院回数が
少ない
取り外せるから
今まで通りの
食事
今までの通りの
歯磨き
柔らかい素材だから
口の中を傷つける
心配がない
アイル矯正歯科では
マウスピース矯正(インビザライン矯正)に
インビザラインを使用
世界が選ぶ 2,080万人の実績
お口に寄り添う
透明な矯正歯科治療
invisalign®
インビザライン
岡崎市内でインビザライン矯正を
受けられる方の
3人に1人が
アイル矯正歯科を選んでいます
岡崎市におけるインビザライン矯正治療患者数が約700名に上る中で、当院ではそのうち約300名の患者様の治療を担当させていただいております。
マウスピース型矯正装置(インビザライン矯正)は、透明素材のアライナーを段階的に交換して歯を動かす矯正歯科治療です。
現在、90以上の国と地域で提供され、累計治療者は約2,080万人(2025年6月時点)に達しています。
近年は、高度なデジタル治療計画技術や、歯の表面に一時的に装着するアタッチメント、あるいは補助装置の活用により治療精度が飛躍的に向上しています。この技術革新の結果、かつてはインビザライン矯正での対応が難しいとされてきた、抜歯を伴うケースや大きな歯の移動が必要なケースを含め、適応範囲が大きく広がっています。
マウスピース矯正(インビザライン矯正)は
歯科医院によって仕上がりが大きく変わってしまう
のをご存じですか?
マウスピース型矯正インビザラインは
治療計画に経験と技術がいる
その理由は、インビザライン矯正がデジタル技術を使うとはいえ、治療計画の設計はすべて歯科医師の知識と技術に依存しているためです。
特に歯の動きを予測し、複雑な症例を成功に導くには、豊富な経験が必要です。
経験不足の歯科医師が行うと、計画通りに歯が動かず、仕上がりに大きな差が出てしまいます。美しい結果を得るためには、治療計画を適切に立てられる歯科医院選びが最も重要なのです。
一生に一度のことだから
妥協のない矯正歯科治療を
ご提供します
アイル矯正歯科の
マウスピース矯正(インビザライン矯正)の特徴
オーダーメイドカスタマイズ
アイル矯正歯科では、患者様一人ひとりの顔の骨格、歯並びを詳しく分析し、インビザラインをカスタマイズいたします。セファログラム分析、レントゲンによる顔の歪みチェック、9種類の歯並びチェック、30項目以上の詳細チェックなど、精密な検査を行い、美しさと機能性を両立した治療計画を構築し、最適な結果を得られるよう取り組んでおります。
Customize 1
1日2人限定
院内を貸し切りにしたカウンセリング
アイル矯正歯科では、患者様一人ひとりの顔の骨格、歯並びを詳しく分析し、インビザラインをカスタマイズいたします。患者様のご要望やご不安にお答えしながら、プライベートな空間でじっくりとお話しさせていただくことで、より最適な治療計画を一緒に考えてまいります。
Customize 2
レントゲンで顔のゆがみをチェック
正面からのレントゲン画像を使用して、顔の左右のバランスや顎関節のズレを評価します。顔の歪みは治療結果に大きく影響するため、これらの情報を基に歯の移動計画を立て、顔全体のバランスも考慮した治療を行います。
Customize 3
セファロ分析
頭部のレントゲン画像を使用して、顔面の骨格バランスと上下顎の位置関係をミリ単位で精密に測定・分析します。この分析により、骨格の問題点を特定し、理想的な「Eライン(審美平面)」を実現するための治療を設計します。美しさと機能性の両立を目指し、審美的に美しく、かつ機能的に良好な咬み合わせを実現します。
Customize 4
9種類の歯並びを分類
9つの代表的な不正咬合の種類について、個々の歯の状態から全体のアーチ特性まで詳細にチェックします。この分類により、各症例の難易度やリスクを判断し、オーダーメイドのマウスピース設計の基礎情報として活用します。
Customize 5
30項目以上のチェックリスト
骨格や歯並びの診断に加えて、プロの視点から30項目以上の詳細なチェックリストを実施します。歯の傾き、歯根の状態、歯周病リスク、顎関節の状態、治療後の後戻りリスクなど、多角的な情報を統合することで、予期せぬ問題を防ぎ、安全で確実、かつ長期的に安定した矯正治療を実現するための精密な治療計画を作成します。
日本矯正歯科学会
認定医が監修
当院の矯正歯科治療は、臨床年数17年という豊富な経験を持ち、さらに最低6年間の研修を必要とする「日本矯正歯科学会」の認定を受けた認定医がすべての治療計画を監修します。
この長年の実績と高い専門性があるからこそ、マウスピース矯正(インビザライン矯正)だけでなく、ワイヤー矯正との組み合わせによる複合的な治療にも対応でき、他院で断られた難症例に対しても、安全で確実な治療を提供することが可能です。
すべての患者様が治療前にその場で
シミュレーションを確認できる
最新の口腔内3D光学スキャナー 「iTero」を導入しているため、従来の不快な型取りは不要です。これにより取得した正確な歯のデータに基づき、治療完了までの歯の動きをデジタルで再現します。患者様は、ご自身の歯がどのように動いていくのか、最終的な理想の歯並びをその場で立体的に確認できます。このシミュレーションを通じて、仕上がりへの不安を解消し、納得いただいた上で安心して治療を開始できます。
最大66%矯正の短縮が可能
振動型フィッティング装置 「VProTM」
最新の口腔内3D光学スキャナー 「iTero」を導入しているため、従来の不快な型取りは不要です。これにより取得した正確な歯のデータに基づき、治療完了までの歯の動きをデジタルで再現します。患者様は、ご自身の歯がどのように動いていくのか、最終的な理想の歯並びをその場で立体的に確認できます。このシミュレーションを通じて、仕上がりへの不安を解消し、納得いただいた上で安心して治療を開始できます。
歴史が長く多数の提携医院
アイル矯正歯科は、1985年から40年以上にわたり矯正歯科治療を専門に行ってきた実績があります。現在は200院以上の提携医院と連携し、多数の患者様に信頼される治療を提供しています。2026年1月時点で、5,601名以上の患者様がアイル矯正歯科グループの治療を受けており、その豊富な経験と実績が当院の強みとなっています。
院内に矯正専門歯科技工士が常駐
アイル矯正歯科では、院内に矯正専門の歯科技工士が常駐しているため、装置の外れや針金が当たるなどの緊急時にもすぐに対応できます。一般的には外部に依頼する必要があり、対応までに3週間程度かかることが多いですが、当院ではその場で対応できるため、治療を中断することなく安心して治療を続けることができます。
治療中の引っ越しも安心!
全国の提携医院に引継ぎが可能
アイル矯正歯科グループでは、治療中に引っ越しが必要になった場合でも、全国33院の提携医院に治療を引き継ぐことができます。最寄りの提携医院がない地域にお引っ越しされる場合でも、信頼できる提携歯科医師をご紹介いたします。引き継ぎが難しい場合は、日本矯正歯科学会のガイドラインに沿って、未使用分の治療費を返金し、現地での治療再開をサポートいたします。
今だけホワイトニングが無料
22,000円(税込)のホームホワイトニングを
インビザラインを受けている方に無料でご提供します。
こんな方にオススメです
接客業の方
営業職の方
就職活動中の方
結婚式のご予定がある方
歯の黄ばみが気になる方
歯を今より白くキレイにしたい方
岡崎市内で
インビザライン矯正を受けられる方の
3人に1人がアイル矯正歯科を選んでいます
当院では真剣にあなたの悩み・矯正の相談をお伺いするためにプライベートにも配慮し、
1日2人限定で院内貸し切りかつ完全個室でご相談を承ります。
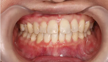
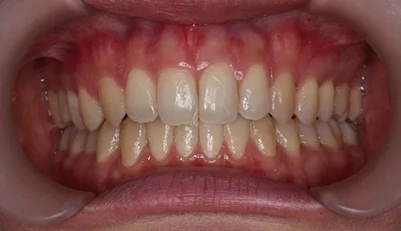
アイル矯正歯科の矯正歯科治療の症例
歯並び
の種類
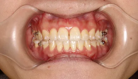
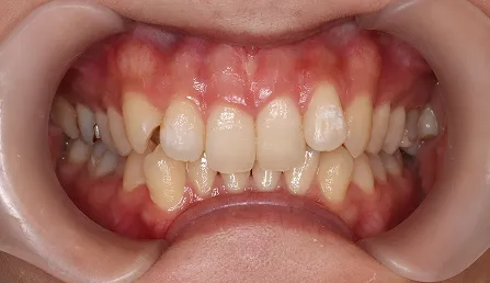
八重歯・歯並びがでこぼこ (叢生)
歯と顎の骨のバランスが悪く歯が並びきらないため、ガタガタに生えてしまっている状態。
- 治療内容
- マウスピース矯正 (インビザライン矯正)
- 年齢
- 20代男性
- 治療期間
- 2年
- 治療費用
- 977,500円 (税込)
- 副作用・リスク
- 疼痛、咬合痛、歯根吸収、歯根露出が生じる可能性があります。
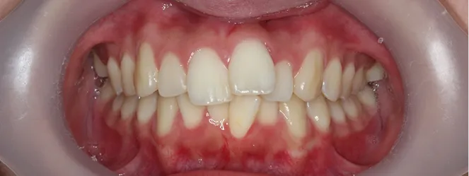
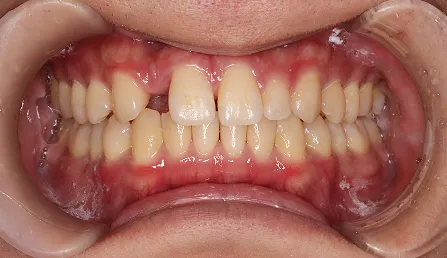
出っ歯 (上顎前突)
歯が上顎より大きく前に突出している状態。または、上顎が下顎より明らかに大きい状態です。
- 治療内容
- マウスピース矯正 (インビザライン矯正)
- 年齢
- 20代女性
- 治療期間
- 2年2ヶ月
- 治療費用
- 977,500円 (税込)
- 副作用・リスク
- 疼痛、咬合痛、歯根吸収、歯根露出が生じる可能性があります。
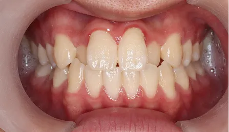
すきっ歯 (空隙歯列)
歯の大きさが顎の大きさと比較すると小さいため、歯と歯の間に隙間が空いた状態です。
- 治療内容
- マウスピース矯正 (インビザライン矯正)
- 年齢
- 20代男性
- 治療期間
- 3年5ヶ月
- 治療費用
- 1,105,000円 (税込)
- 副作用・リスク
- 疼痛、咬合痛、歯根吸収、歯根露出が生じる可能性があります。
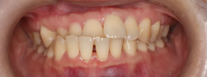
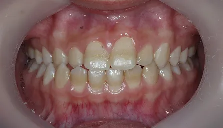
噛み合わせが深い (ディープバイト・過蓋咬合)
噛み合わせが異常に深くなっている状態です。
- 治療内容
- マウスピース矯正 (インビザライン矯正)
- 年齢
- 30代女性
- 治療期間
- 2年2ヶ月
- 治療費用
- 1,005,000円 (税込)
- 副作用・リスク
- 疼痛、咬合痛、歯根吸収、歯根露出が生じる可能性があります。
受け口・しゃくれ (反対咬合)
下の歯が上の歯よりも前に出ている状態です。
- 治療内容
- マウスピース矯正 (インビザライン矯正)
- 年齢
- 30代女性
- 治療期間
- 1年8ヶ月
- 治療費用
- 1,005,000円 (税込)
- 副作用・リスク
- 疼痛、咬合痛、歯根吸収、歯根露出が生じる可能性があります。
前歯が閉じられない (開咬)
上下の歯が噛み合っていない状態です。
- 治療内容
- マウスピース矯正 (インビザライン矯正)
- 年齢
- 20代女性
- 治療期間
- 2年5ヶ月
- 治療費用
- 977,500円 (税込)
- 副作用・リスク
- 疼痛、咬合痛、歯根吸収、歯根露出が生じる可能性があります。
交叉咬合 (こうさこうごう・クロスバイト)
上下の歯の噛み合わせが逆向きになっている状態です。
- 治療内容
- マウスピース矯正 (インビザライン矯正)
- 年齢
- 10代男児
- 治療期間
- 2年2ヶ月
- 治療費用
- 960,000円 (税込)
- 副作用・リスク
- 疼痛、咬合痛、歯根吸収、歯根露出が生じる可能性があります。
ロゴボ (上下顎前突)
一般的にロゴボという状態は、口が明らかに突出した状態です。
- 治療内容
- マウスピース矯正 (インビザライン矯正)
- 年齢
- 10代女性
- 治療期間
- 2年6ヶ月
- 治療費用
- 1,100,000円 (税込)
- 副作用・リスク
- 疼痛、咬合痛、歯根吸収、歯根露出が生じる可能性があります。
上下の前歯の中心線がずれている (正中の不一致)
上下の前歯の真ん中が一致していない状態です。
- 治療内容
- マウスピース矯正 (インビザライン矯正)
- 年齢
- 20代女性
- 治療期間
- 3年7ヶ月
- 治療費用
- 1,005,000円 (税込)
- 副作用・リスク
- 疼痛、咬合痛、歯根吸収、歯根露出が生じる可能性があります。
料金表
オーダーメイド矯正プラン
矯正治療の必要箇所には大きな個人差があります。
そのため当院では、一律の固定料金ではなく、患者様それぞれの症状に合わせて治療箇所を細かく分類し、
その数に応じて費用を加算するシステムを採用いたしました。
この「加算制」は、画一的なプランではなく、お一人おひとりの治療内容に見合った
「合理的で透明性の高い」料金体系を実現するための選択です。
それぞれの状態に真摯に向き合い、すべての方に納得いただける適正な価格設定を目指しています。
基本料金
精密な検査に基づき、日本矯正歯科学会認定医がすべての治療を監修。
インビザラインで、一人ひとりの理想の歯並びを実現する特別な矯正治療です。
70万円+税
月々約7,100円+税~
+
オーダーメイド加算
精密検査・分析の結果、個人の症状に合わせ、治療が必要な項目に応じて加算される料金です。
一律の固定制ではなく、必要な分だけを適正に設定しました。
※治療費の合計額は、140万円(税込)を上限とさせていただきます。
5万円+税/項目
※矯正歯科治療の料金は「基本料金」+「オーダーメイド加算」の合計です。 ※矯正治療費700,000円を120回の分割払いでお支払いいただく場合の例となります。 ※抜歯等の前処置は別途発生する場合があります。 ※治療費の合計額は、140万円(税込)を上限とさせていただきます。 ※治療費のほかに、初診相談料、検査料、診断料、および再診時の処置料が別途発生いたします。
初診料
10,000円+税
精密検査
47,000円+税
診断料
9,400円+税
処置料金
再診療(調整料)
4,700円+税
※各料金についての詳細は矯正歯科治療相談時にお伝えします
デンタルローンでのお支払い例
12回払い
月々約0,000円~
初月0,000円~(税込)
24回払い
月々約0,000円~
初月0,000円~(税込)
36回払い
月々約0,000円~
初月0,000円~(税込)
48回払い
月々約0,000円~
初月0,000円~(税込)
60回払い
月々約0,000円~
初月0,000円~(税込)
お支払い方法
医療費控除について
マウスピース矯正(インビザライン)にかかる治療費は、医療費控除の対象となります。
医療費控除とは、ご自身や生計をともにするご家族のために、1年間で10万円を超える医療費を支払った場合に、一定額を所得から差し引くことができる制度です。
デンタルローンを利用した分割払いの場合でも適用が可能ですので、ご負担を軽減しながら治療を進めていただけます。
岡崎市内で
インビザライン矯正を受けられる方の
3人に1人がアイル矯正歯科を選んでいます
当院では真剣にあなたの悩み・矯正の相談をお伺いするためにプライベートにも配慮し、
1日2人限定で院内貸し切りかつ完全個室でご相談を承ります。
マウスピース矯正(インビザライン矯正)の治療の流れ
お問い合わせ
電話または24時間受付のWEB予約が可能です。治療内容、費用、予約方法、矯正歯科治療に関する疑問点について、お気軽にお問い合わせください。
ご相談
1日2名限定の完全個室で、歯並びの悩みや希望、治療に関する疑問をスタッフが丁寧にお聞きします。インビザライン矯正の概要や治療の進め方についてご説明いたします。
精密検査
歯科用CT、口腔内スキャナー、レントゲン撮影、セファロ分析などを用いて、現在の歯と顎の状態を正確に把握するための詳細な検査を行います。
治療計画作成・診断
精密検査の結果に基づき、認定医が治療計画を立案します。3Dシミュレーションで治療後の歯並びとゴールを共有し、診断を行います。
マウスピースの
製造・出荷
決定した治療計画に基づき、オーダーメイドでインビザライン・アライナーが製造され、クリニックに届けられます。
マウスピースの装着
マウスピースの正しい装着方法や交換頻度についてご説明します。自宅で定期的に新しいアライナーに交換して治療を進めていただきます。
治療経過の観察・
確認
約1〜3ヶ月に一度来院していただき、歯の動きが計画通りか確認します。必要に応じて調整や再スキャンを行います。
治療終了
計画通りに歯並びが整ったら治療は完了です。後戻りを防ぐために保定装置(リテーナー)に移行し、経過を観察します。
よくあるご質問
1日の装着時間はどのくらいですか?
1日20〜22時間の装着が必要です。睡眠時も含めて装着していただき、食事や歯磨きの時のみ外していただきます。
治療期間と来院回数はどのくらいですか?
一般的に1〜2.5年程度です。詳しい検査を行った上で、正確な治療期間をご説明いたします。
来院頻度はどのくらいですか?
約1〜3ヶ月に一度来院していただき、治療の進捗を確認し、新しいアライナーをお渡しします。
以前矯正治療を中断しましたが、再開できますか?
はい、可能です。現在の状態を検査した上で、新しい治療計画をご提案いたします。
何歳から治療を始められますか?
年齢の上限はありません。歯と歯ぐきが健康であれば、成人の方でもマウスピース矯正治療が可能です。
アライナーのお手入れ方法を教えてください
水と歯ブラシでやさしくブラッシングしてください。専用の洗浄剤を週に1回程度使用することをおすすめします。
治療後に「後戻り」はありますか?
はい、後戻りを防ぐために「保定期間」が必要です。保定装置(リテーナー)を使用して、歯が元の位置に戻らないように経過を観察します。
アイル矯正歯科医院長からのご挨拶
一生に一度の瞬間を最高の笑顔にする。
日本矯正歯科学会 認定医
院長 三上智彦
Tomohiko Mikami
経歴
資格
- 日本矯正歯科学会 認定医
- インコグニット認定ドクター
- インビザライン認定ドクター
所属
- 日本矯正歯科学会
- 東京矯正歯科学会
- 日本顎変形症学会
- 日本口蓋裂学会
論文・学会発表・講演
-
日本顎変形症学会雑誌= The Japanese journal of jaw deformities 25(1), 17-31, 2015.
上顎前歯部歯槽骨切り術を適応した骨格性下顎後退症患者の側貌軟組織変化
Soft Tissue Profile Changes Following Anterior Segmental Maxillary Osteotomy in Mandibular Retrognathia Patients
-
第69回日本矯正歯科学会大会、横浜、2010.9.27-29.
当分野を受診したDown症候群患者に対する矯正歯科的アプローチ
-
第22回日本顎変形症学会、福岡、2012.6.18-19.
上顎前歯部歯槽骨切り術を適応した骨格性下顎後退症患者の側貌軟組織変化
14th International Symposium on Dentofacial Development and Function, Beijing, China September 19-23, 2012.
Soft tissue profile changes following anterior segmental maxillary osteotomy in mandibular retrognathia patients.
-
第23回日本顎変形症学会、大阪、2013.6.22-23.
下顎枝矢状分割法を用いて下顎骨前方移動術を施行した顎変形症患者の術後安定性の検討
岡崎市内で
インビザライン矯正を受けられる方の
3人に1人がアイル矯正歯科を選んでいます
当院では真剣にあなたの悩み・矯正の相談をお伺いするためにプライベートにも配慮、
1日2人限定で院内貸し切りかつ完全個室でご相談を承ります。
医院紹介
〒444-0044
愛知県岡崎市康生通南2丁目30 東海保険・ガーデンビル2F 旧: OV岡崎ビル
| 診療時間 | 月 | 火 | 水 | 木 | 金 | 土 | 日 |
|---|---|---|---|---|---|---|---|
| 11:00~12:30 |
|
|
※ | ※ |
|
|
|
| 14:30~19:30 |
|
|
※ | ※ |
|
|
|
※ 水・木は休診日交替制
土は10:00~11:30 / 13:30~18:30
日・祝は休診日
東海保険・ガーデンビル 2F 旧:OV岡崎ビル
診療時間
| 月 | 火 | 水 | 木 | 金 | 土 | 日 | |
|---|---|---|---|---|---|---|---|
| 11:00~12:30 |
|
![]() |
※ | ※ |
|
|
休 |
| 14:30~19:30 |
|
![]() |
※ | ※ |
|
|
休 |
水曜・木曜は休診日交替制
土曜は10:00~11:30 / 13:30~18:30
日曜・祝日は休診日
無料専用駐車場を完備※当院南隣(川沿い)の『ユアーズパーク』内
名鉄『東岡崎』駅より徒歩8分
JR『岡崎』駅より康生町方面行殿橋バス停下車30秒
Web予約上で空きがなくても対応できる場合もございますので、 ご希望の日時に空きがない場合はお電話下さい。
カレンダー
お支払い方法
当院では、クレジットカードの使用、分割払い、ローンでのお支払いが可能です。
※保険診療費のお支払いにはカード、ローンのご利用ができません。




