LINEで予約 WEB予約 0564-24-4188

症例紹介

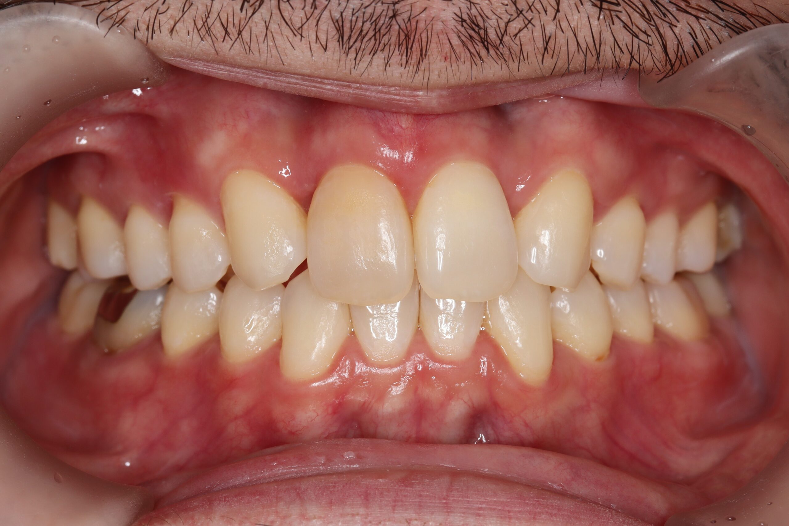
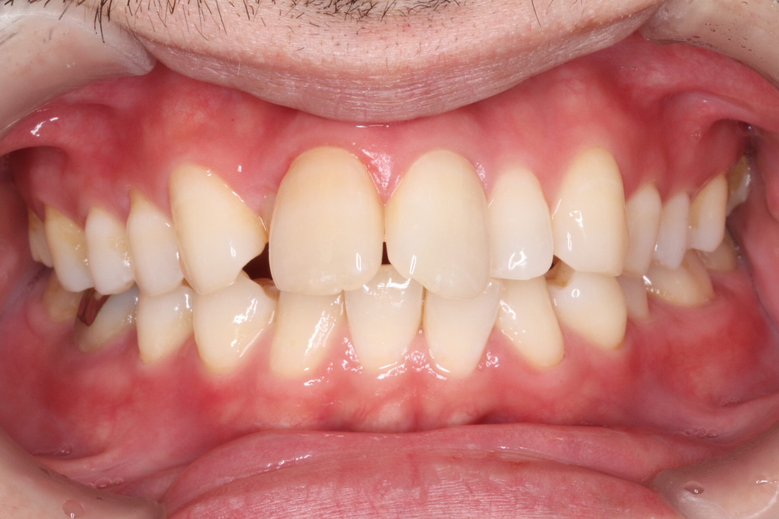
Before After

30代男性 正中不一致

症例情報

主訴:上顎前突、叢生あり
期間:3年7か月
処置:上左右2番(側切歯)抜歯
治療費:1,100,000円+税
リスク・副作用:疼痛、咬合痛、歯根吸収、歯根露出が生じる可能性があります。

詳細を見る
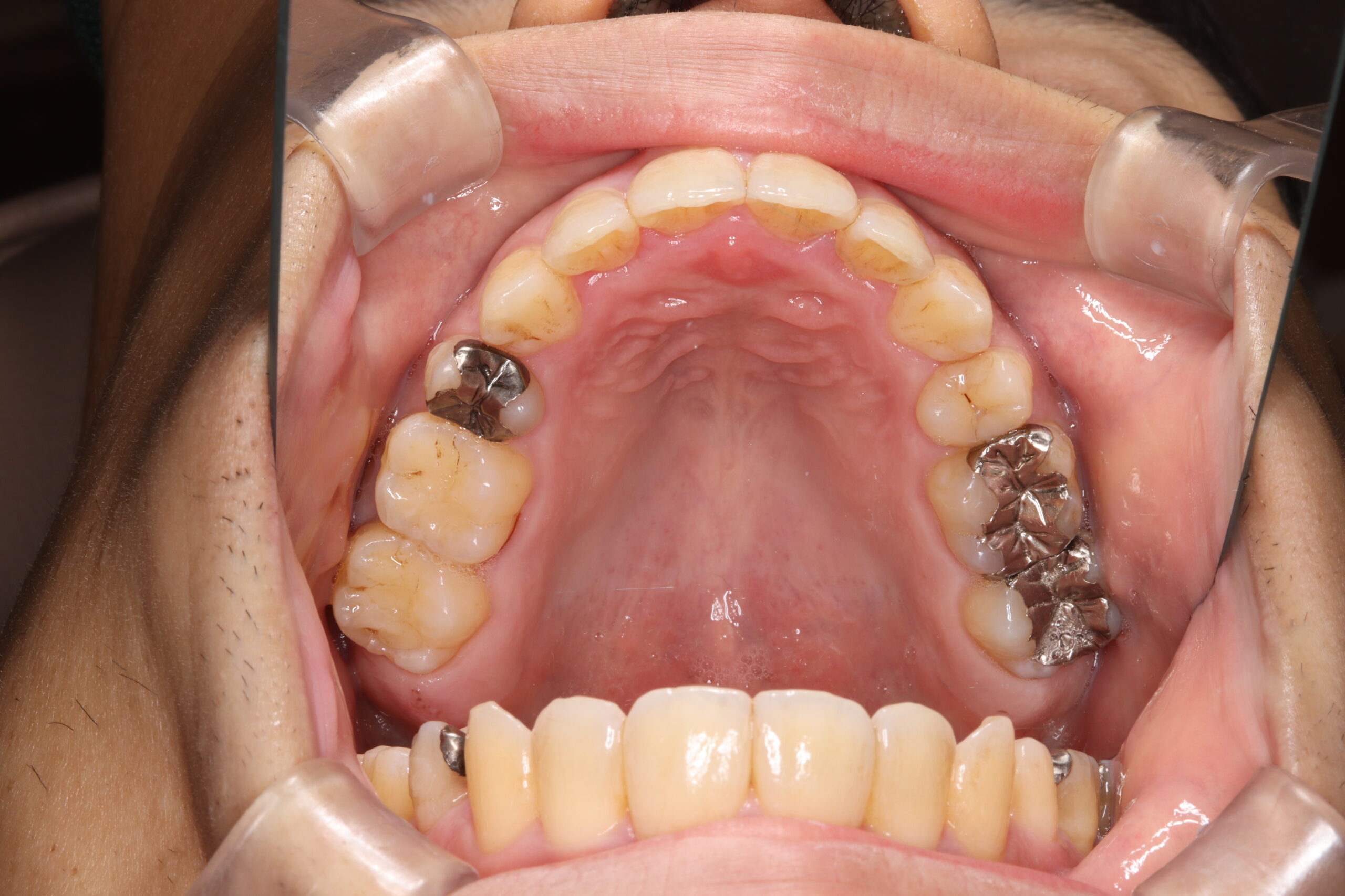
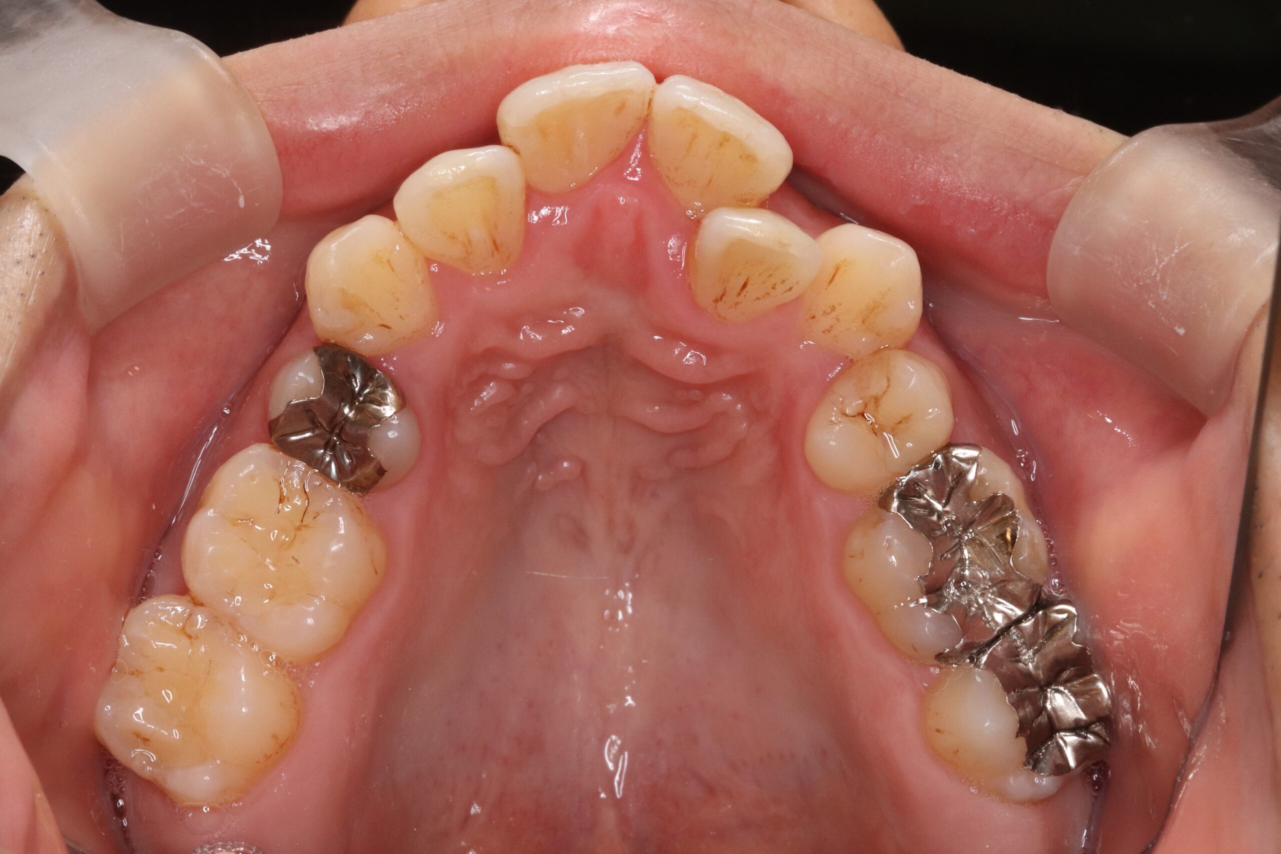
Before After

30代男性 叢生

症例情報

主訴:上下のガタガタ
期間:3年6か月
処置:非抜歯
治療費:1,100,000円+税
リスク・副作用:疼痛、咬合痛、歯根吸収、歯根露出が生じる可能性があります。

詳細を見る
Before After

20代男性 叢生

症例情報

主訴:叢生
治療期間:2年
処置:左右上下親知らず4本抜歯
治療費:1,100,000円+税
リスク・副作用:疼痛、咬合痛、歯根吸収、歯根露出が生じる可能性があります。

詳細を見る
〒444-0044 愛知県岡崎市康生通南2丁目30
東海保険・ガーデンビル 2F 旧:OV岡崎ビル

診療時間

11:00~12:30
14:30~19:30

水曜・木曜は休診日交替制

土曜は10:00~11:30 / 13:30~18:30

日曜・祝日は休診日

マップ

アクセス

駐車場マップ

アクセス
無料専用駐車場を完備

無料専用駐車場を完備※当院南隣(川沿い)の『ユアーズパーク』内
名鉄『東岡崎』駅より徒歩8分
JR『岡崎』駅より康生町方面行殿橋バス停下車30秒

Web予約上で空きがなくても対応できる場合もございますので、 ご希望の日時に空きがない場合はお電話下さい。

マップ

アクセス

駐車場マップ

アクセス

お支払い方法

当院では、クレジットカードの使用、分割払い、ローンでのお支払いが可能です。
※保険診療費のお支払いにはカード、ローンのご利用ができません。