一生に一度の瞬間を、最高の笑顔にする。
矯正歯科の認定医が全ての矯正治療を担当
矯正歯科治療5601症例以上
1日2名限定の特別な矯正相談を実施中
人生の節目に矯正歯科治療を検討する方が多いでしょう。
当院でも、成人式や結婚式などのイベントまでに「歯並びをきれいにしたい」とのご相談が多くあります。
アイル矯正歯科では、目的やシーンに合わせた矯正歯科治療のご提案も行っております。
本記事では、目的・シーン別のおすすめの矯正歯科の治療法をご紹介していますので、ぜひご参考にしてください。
目的・シーン別の矯正歯科治療の特徴
アイル矯正歯科 日本矯正歯科学会認定医
院長三上 智彦
Mikami Tomohiko
私の原点は、幼少期の実体験にあります。 多くの患者様と向き合い確信したのは、「歯並びの真価は未来に現れる」ということ。年齢を重ねてから歯を失い、後悔する方を一人でも減らしたいのです。矯正は「今の笑顔」と「未来の健康」への投資です。一生に一度の晴れ舞台を最高のものにし、その先も生涯ご自身の歯で過ごせるように。数十年先まで見据えた治療で、あなたの人生に寄り添います。
一生に一度の瞬間を、最高の笑顔にする。
岡崎市内でインビザライン矯正を受けられる方の
3人に1人がアイル矯正歯科を選んでいます
40年以上の歴史を持つ当院では、日本矯正歯科学会の認定医がすべての矯正歯科治療を責任を持って担当いたします。これまでの累計治療数は5,601件を超え、マウスピース矯正1,900件以上や小児矯正2,500件以上で国内有数の実績を誇ります。提携医院200以上、ご紹介による患者様も4,500名にのぼるなど、多くの信頼をいただいてきました。駐車場も完備しており、お車での通院もスムーズです。確かな経験と技術で、理想の歯並びをサポートいたします。まずはぜひお気軽にご相談ください。

矯正歯科治療は長期間に及ぶ治療となりますが、目的やきっかけがあることでゴールを目指して頑張れるものです。
「イベントまでに歯並びを整えたい」「噛み合わせを治して正しく発音したい」などのお悩みがある方は、一度、矯正歯科治療の相談を受けてみるとよいでしょう。
歯並びは自然と改善するものではないため、歯並びが乱れていることで長年口元のコンプレックスを抱いている人は少なくありません。
また、歯並びは口元はもちろん、顔の印象やフェイスラインにも影響します。
矯正歯科治療を受けることで、歯並びだけでなくフェイスラインや横顔の変化を実感される方は多くいらっしゃいます。
特に出っ歯や受け口などの歯並びは横顔のラインが乱れやすいため、歯並びを整えることで横顔が美しくなります。
従来の矯正歯科治療は矯正装置が目立ちやすいため、治療を受けることに躊躇してしまう方も多くいらっしゃいました。
現在はマウスピース矯正でも多くの症例に対応できるため、矯正治療期間中の見た目が気になる方でも治療に取り組めます。
マウスピース矯正は透明のマウスピースを使用するため、矯正治療中であることを周囲に気付かれにくいメリットがあります。
矯正歯科治療で歯並びが整うのはもちろんですが、横顔のラインも美しくなります。
特に出っ歯や受け口など口元が突出している症例では横顔がきれいに整うことを実感しやすくなります。
また、横顔の美しさを決める指標としてEライン(鼻先と顎先を結ぶ線)がありますが、口元が整うことで美しいEラインも目指せます。
矯正歯科治療では鼻の高さは変わりませんが、Eラインの見え方が変わり、鼻が相対的に高く見えることがあります。
矯正歯科治療は年齢制限がないため、いつからでも治療を始められます。
実際に、近年では50代、60代から矯正歯科治療を始める方も増えてきました。
口元で顔の印象は大きく左右されるため、今後の人生を明るく、自信をもてるようにするためにも、口元のお悩みがある方は矯正歯科治療を検討してみるとよいでしょう。
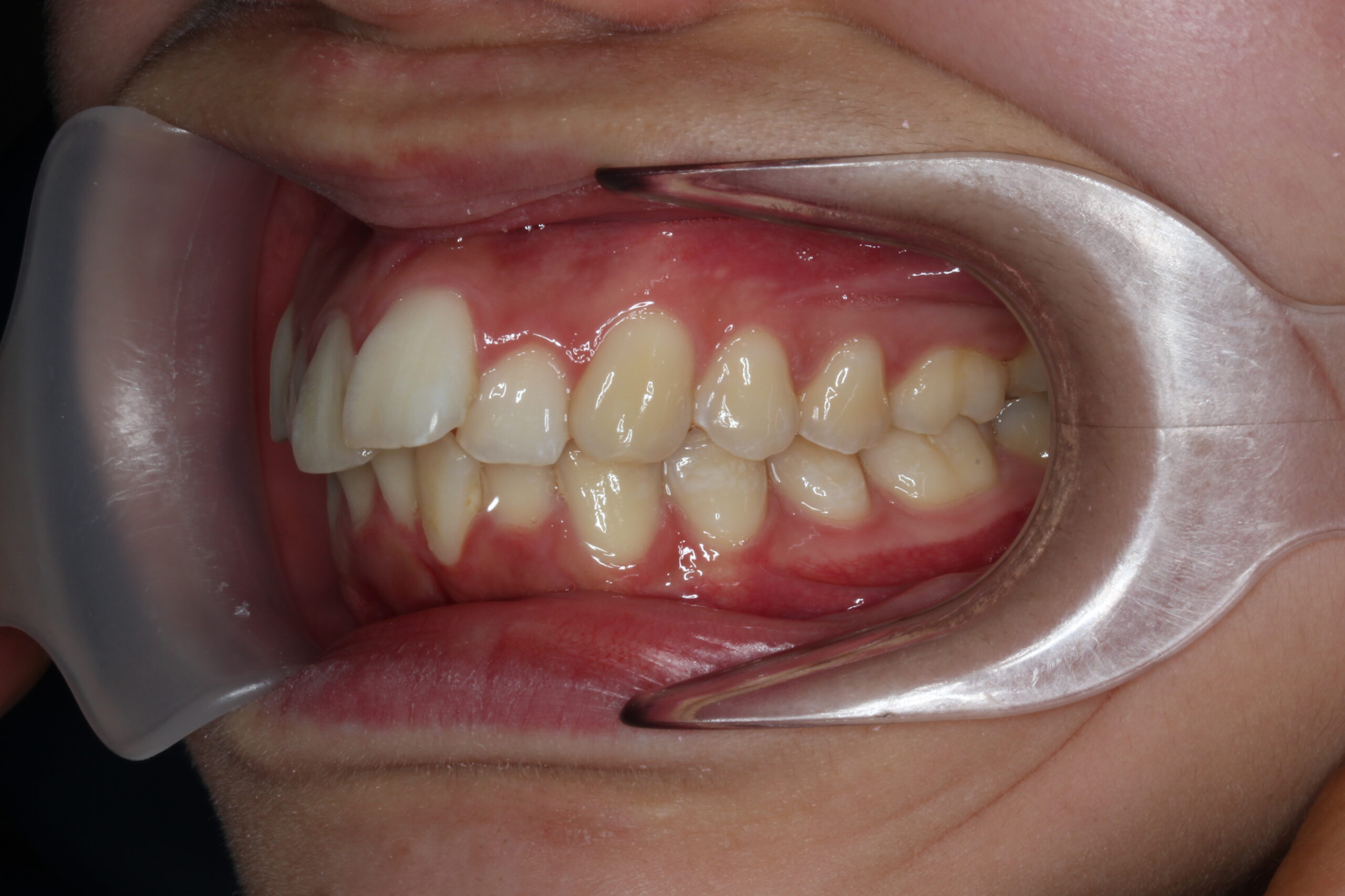
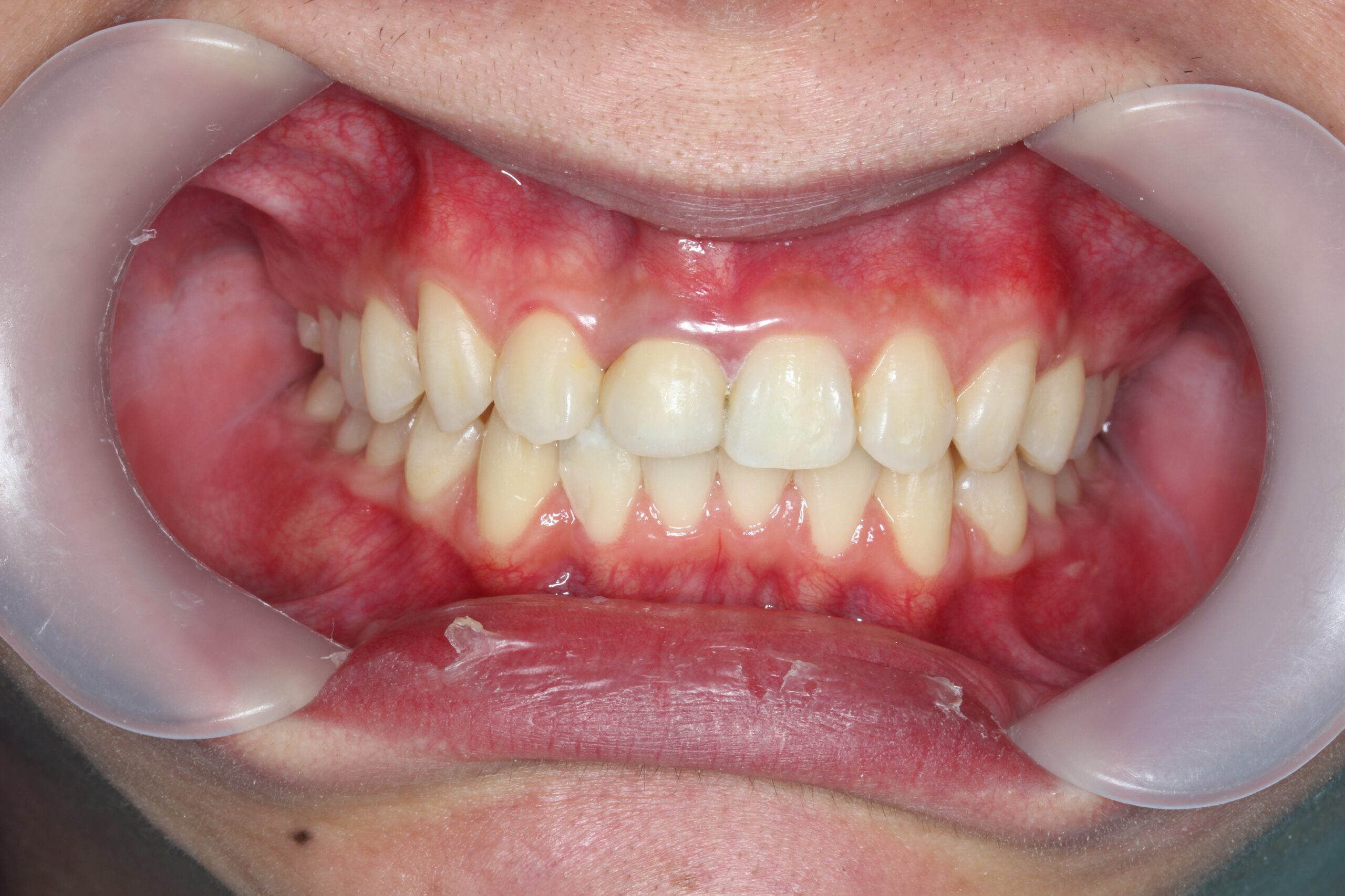
before
after
施術概要
8⏊8抜歯 【補足】:⎾2先天的欠損
金額
1,005,000円 円
(税込)期間・回数
2年2か月
リスク・副作用
疼痛、咬合痛、歯根吸収、歯根露出が生じる可能性があります。

人生の節目や、大きなイベントをきっかけに矯正歯科治療を始める方も少なくありません。
当院では、「いつまでに歯並びを整えたい」というお悩みにも対応可能ですので、大切なイベントや期日がある方は早めにご相談ください。
結婚式や成人式などの人生において大きなイベントは、ずっと大切な思い出として残るものです。
写真撮影もあるため「あの時、矯正しておけばよかった」と後悔してしまう方もいらっしゃいます。
就職や転職、婚活などでも自分に自信をもつためにも、矯正歯科治療を受けてコンプレックスを解消しておきましょう。
当院のマウスピース矯正であれば治療の短縮が可能です。
早く治療を終わらせたい方のために「デンツプライ VPro」を導入しています。
デンツプライ VPro5分間使用することで、高周波振動によって歯の動きが加速し、治療期間が短縮される可能性があります(最大64%と報告されたデータもあります)。
矯正歯科治療中に大切な写真撮影がある場合も、マウスピース矯正であれば必要に応じてご自身で装置を外せます。
ワイヤー矯正の場合も、大切なイベントに合わせて一時的に装置を取り外すことは可能ですが、再装着が必要なため患者様に負担がかかります。
治療期間中に大切な写真撮影などの予定がある場合は、マウスピース矯正がおすすめです。
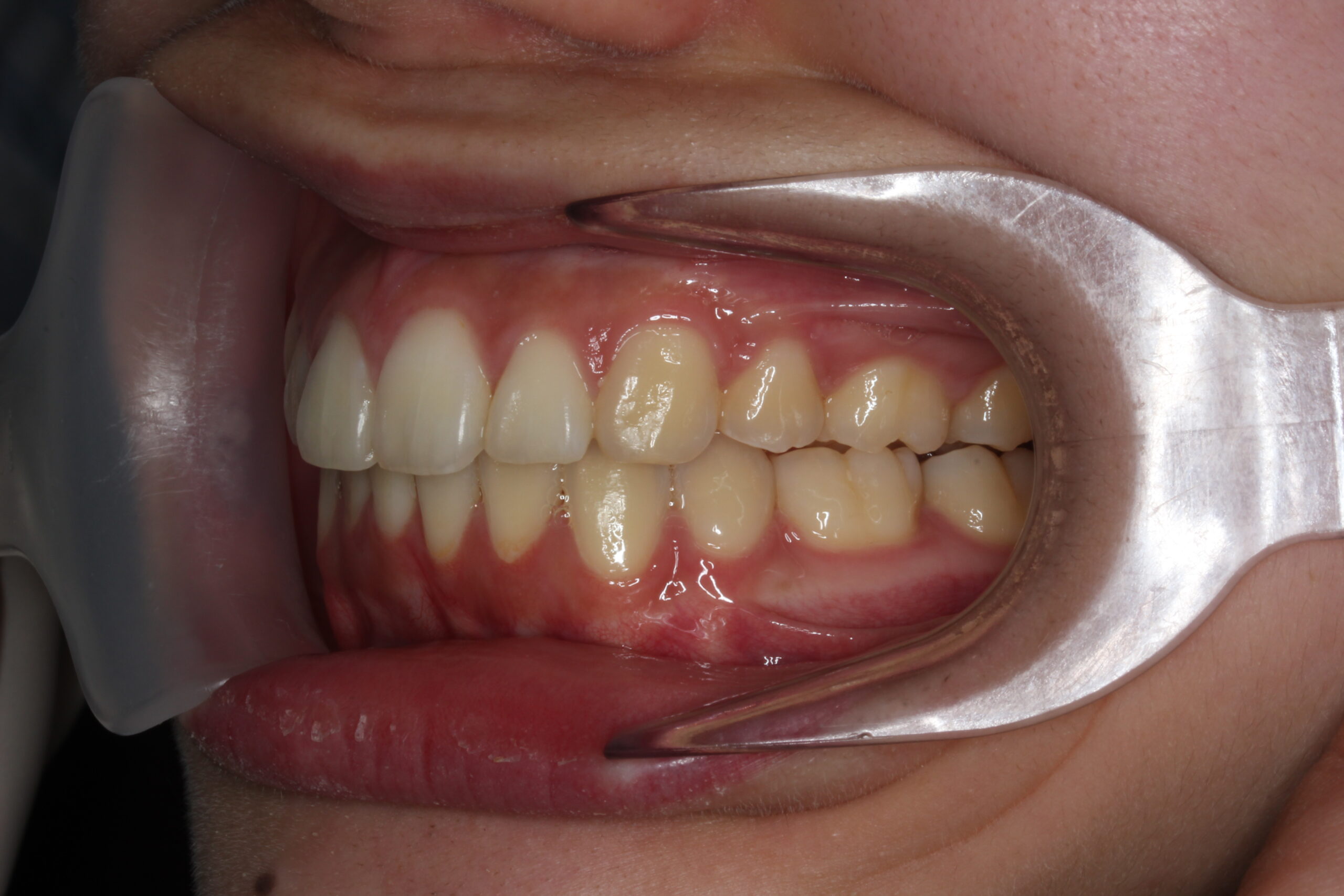
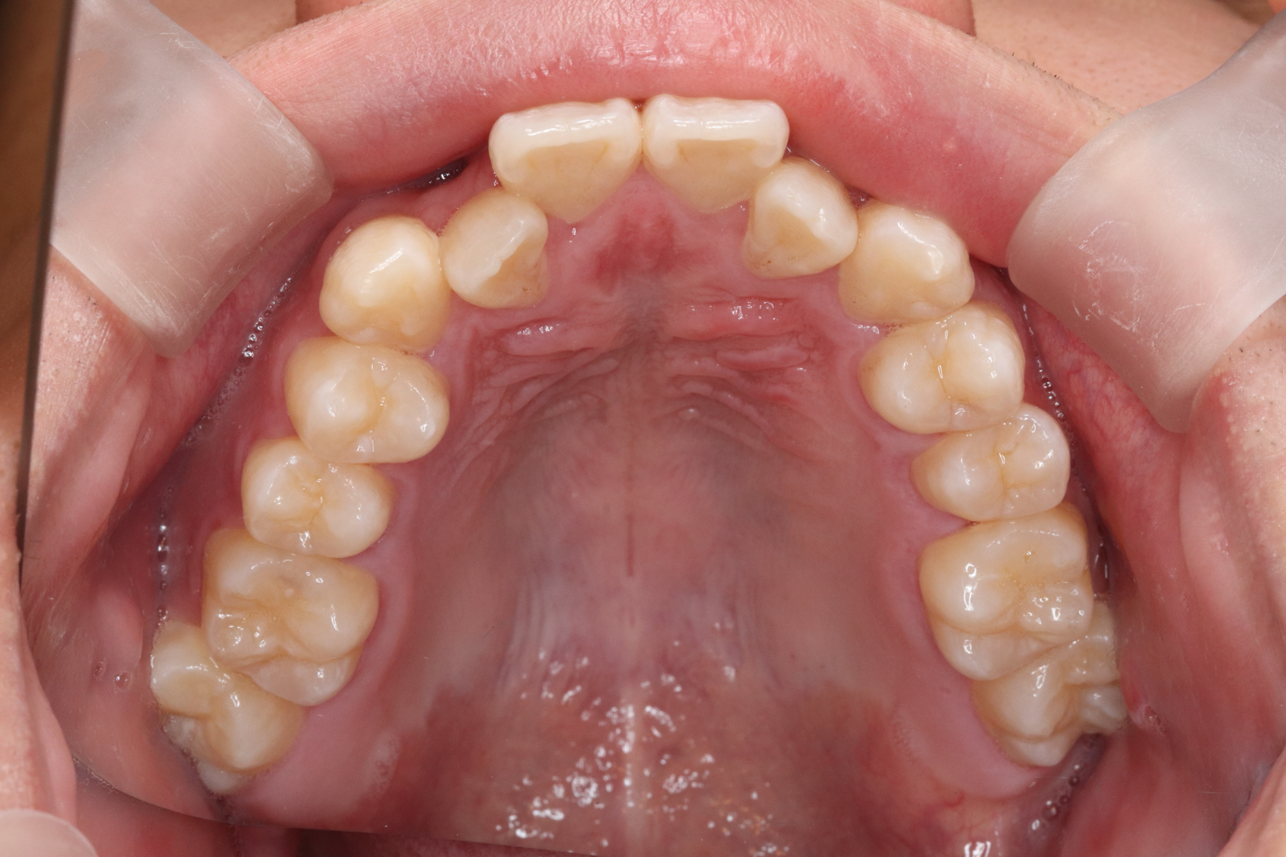
before
after
施術概要
処置:8⏊8・8⏉8抜歯
金額
977,500円 円
(税込)期間・回数
2年
リスク・副作用
疼痛、咬合痛、歯根吸収、歯根露出が生じる可能性があります。

噛み合わせが整うと、重心が安定するため、筋力アップや瞬発力アップが期待できるといわれています。
また、出っ歯や開咬などの不正咬合は口を閉じづらいために口呼吸になりがちですが、口呼吸は脳への酸素供給が減少するため、集中力の低下につながります。
噛み合わせが正しく、顎の位置が整っていれば、姿勢やバランスがよくなるため、筋力も集中力も向上します。
一方で、噛み合わせが悪い状態は、体の軸がブレるために姿勢もバランスも崩れ、最大の力を出すことが難しくなります。
スポーツにおいて最大のパフォーマンスを引き出すためには噛み合わせを整えることが重要です。
最近は、サッカーや野球、ラグビーなど多くのスポーツで試合中にスポーツ用マウスピースを装着している選手が増えてきました。
スポーツ用マウスピースを装着することで、口元の怪我の予防や顎の負担の軽減、筋肉の活性化が期待できるためです。
これらの効果を十分に得るためには、適合性に優れたマウスピースを装着することが大切です。
歯並び・噛み合わせが整っていれば、適切な場所でしっかりと噛み締めることができる適合のよいマウスピースの作製が可能になります。
メジャーリーガーである大谷翔平選手も、2019年にマウスピース矯正を行っていました。
マウスピース矯正は、スポーツ中の口元の怪我リスクが少なく、装着している違和感も少ないため、スポーツに集中できるメリットがあります。
また、必要に応じて自分で装置を取り外すことも可能であるため、その時のコンディションによって調整しやすい特徴もあります。
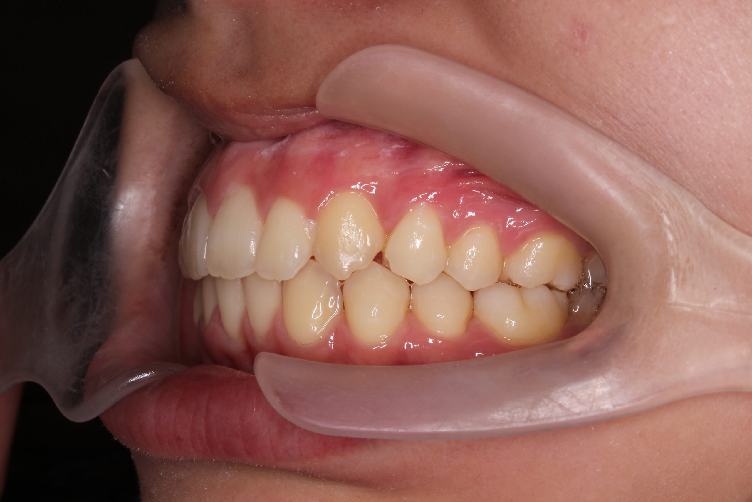
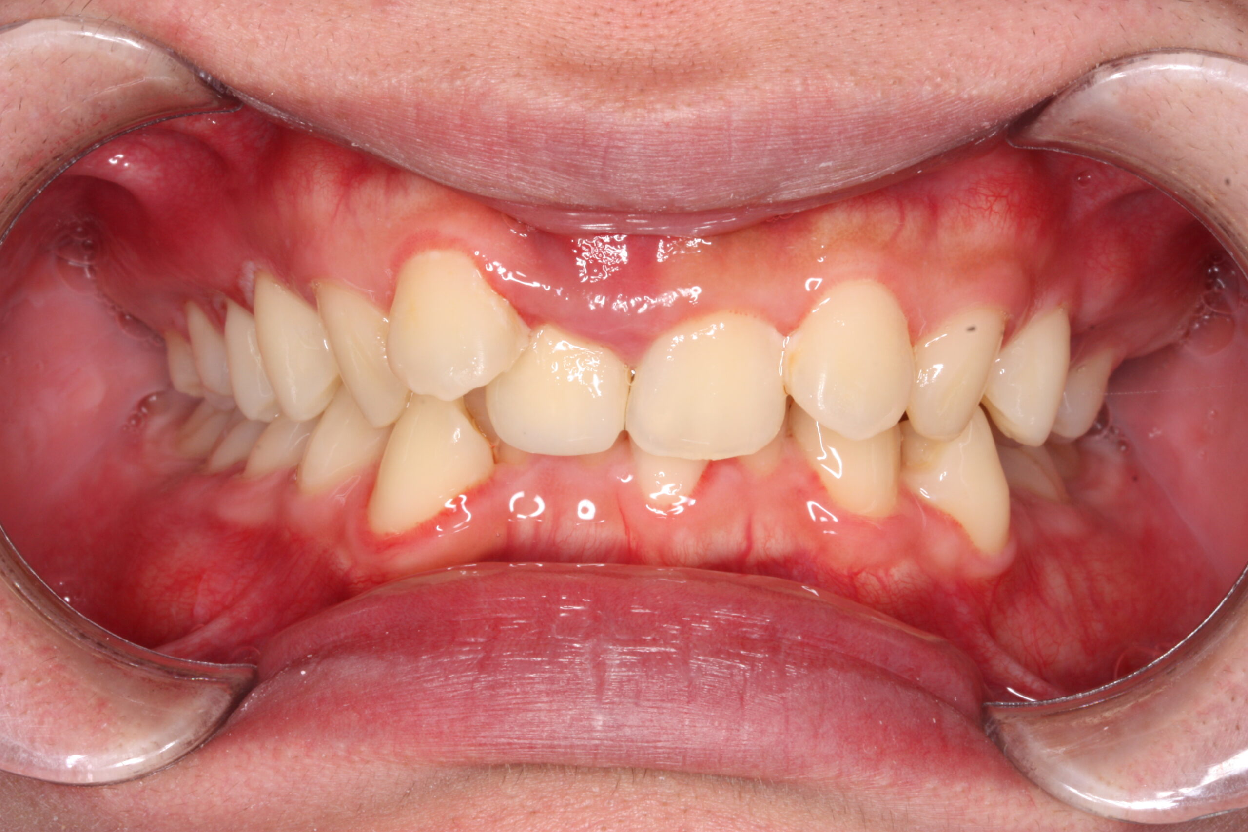
before
after
case 01
施術概要
主訴:叢生 処置:抜歯(親知らず4本)、IPR
金額
1,386,000 円
(税込)期間・回数
2年半
リスク・副作用
疼痛、咬合痛、歯根吸収、歯根露出が生じる可能性があります。

歯並びや口元は、第一印象にも大きな影響を与えます。
そのため、接客業や営業職など人と接する機会が多い方は、歯並びを整えておくことをおすすめします。
心理学では人の第一印象は3秒で決まるといわれています。
多くが視覚情報によってイメージ付けられるため、第一印象をよくするためには歯並びを整えることも大切です。
歯並びが整っていると、清潔感があり身だしなみが整っているように見えます。
その結果、信頼できるイメージにつながり、仕事面に関しても良い印象を与えることができます。
発音が悪いと、相手に話がうまく伝わらず、コミュニケーションに支障が出ることがあります。
歯並びが悪いと、空気が漏れて正しく発音できなかったり、適切な舌の位置でないために滑舌が悪くなったりと発声に影響がでます。
歯並びや噛み合わせが改善すると、発音の改善につながる場合があるため、発音についてお悩みがある方は矯正歯科治療を検討してみるとよいでしょう。
最近は日本でも歯並びを意識する方が増えてきましたが、海外では昔から歯並びに対する意識が高い傾向にあります。
特にアメリカやカナダなどの国では、ただ歯並びがきれいということだけではなく、衛生的であり健康的というイメージにもつながり、第一印象の評価が高まります。
そのため、人生で2〜3回の矯正歯科治療を受ける方も少なくありません。
ビジネスにおいても信頼を得るためには、美しい歯並びで口元への意識が高いことが求められます。
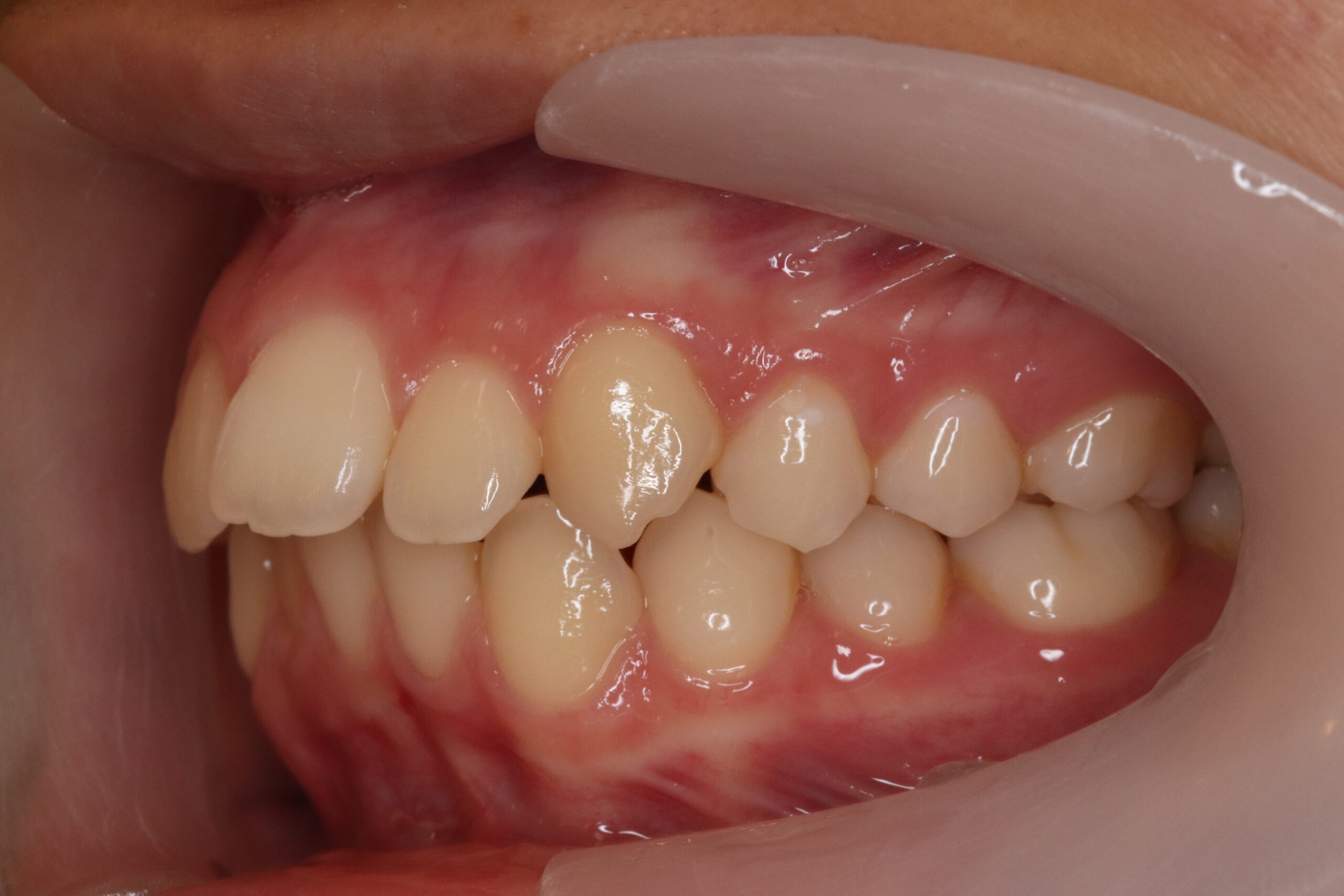
before
after
施術概要
抜歯(親知らず4本)、IPR、 インビザライン治療
金額
1,386,000円 円
(税込)期間・回数
2年半
リスク・副作用
疼痛、咬合痛、歯根吸収、歯根露出が生じる可能性があります。

学校の歯科検診で「歯並びが悪い」と指摘を受けたことがあるお子様もいらっしゃるでしょう。
成長期の子どもの矯正歯科治療は、大人とは違い、顎の成長を利用できるというメリットがあります。
近年は顎が小さく、歯並びが乱れやすいお子様が多い傾向にあります。
成長期であれば、顎の成長をコントロールした治療を受けられます。
また、早い段階で見た目のコンプレックスを解消でき、歯並びが整うことで歯磨きを行いやすくなり、虫歯や歯周病などの予防にもつながります。
before
after
施術概要
上下左右1本ずつ抜歯, ワイヤー矯正治療
金額
1,100,000円 円
(税込)期間・回数
2年6か月
リスク・副作用
疼痛、咬合痛、歯根吸収、歯根露出が生じる可能性があります。

1985年から3代にわたって40年以上診療を行ってきました。
古くから地域の方に支えられており、子どもの頃に通院されていた患者様が、現在お子様の治療に来院されているケースも多くあります。
他院からの紹介者数が4,500件を超えています。
患者様だけでなく、専門知識を持った歯科医師からも紹介していただけるのは、これまでの治療実績があるからだと感じております。
実際に治療を受けられた多くの患者様にも治療結果に満足していただいています。
当院はマウスピース矯正(インビザライン矯正)の症例数が特に多く、岡崎市の約3分の1のインビザライン矯正を担当した実績があります。
インビザライン矯正はどこの歯科医院で受けても治療結果が同じになるわけではありません。
治療経験・知識・技術によって結果が大きく左右される治療です。
インビザライン矯正を検討されている方はぜひ当院までご来院ください。
当院は表側矯正や裏側矯正のほかにマウスピース矯正(インビザライン矯正)にも対応しております。
インビザライン矯正は装置が目立ちにくく、違和感も少ない治療法です。
また、当院であれば専用の装置を使用して治療期間を短縮することも可能です。
歯科治療のなかでも特に矯正歯科治療は専門性の高い分野であり、専門的知識・技術・経験が必要になります。
当院は長年矯正歯科治療について研鑽を積んできた日本矯正歯科学会 認定医が担当するようにしています。
この認定医の資格は試験や経験などさまざまな厳しい条件をクリアできなければ取得できません。
全ての治療過程を日本矯正歯科学会の認定医が担当しておりますので、不安に感じることなく治療を受けていただけます。

接客業など人と接する機会が多い方も矯正歯科治療は可能です。
矯正歯科治療中の見た目が気になる場合は、マウスピース矯正であれば矯正装置が目立ちにくく、矯正歯科治療中であることにも気付かれにくい特徴があります。
矯正装置の種類によって異なります。
特に発音への支障が出やすいのは、歯の裏側に装置を接着する裏側矯正です。
装置が舌に当たりやすいため、発音のしづらさを感じることがあるでしょう。
ただし、どの治療法でも慣れることによって発音への影響は少なくなります。
また、マウスピース矯正(インビザライン矯正)であれば、大事な機会に装置を外すことも可能です。
マウスピース矯正であれば矯正装置を外すことが可能です。
ワイヤー矯正の場合は、固定式の装置であるため患者様自身で装置を外すことはできません。
ラグビーやボクシングなどの口元に強く当たる可能性があるスポーツは、矯正装置が外れたりケガをしたりする恐れがあります。
このようなスポーツをされる方は、マウスピース矯正(インビザライン矯正)を選択していただくか、スポーツ用のマウスガードを併用したほうがよいでしょう。
可能です。
ただし、症例によっては治療期間が長くなることもありますので、早めにご相談いただけると幸いです。

矯正歯科治療は費用が高い傾向にあり、治療期間も長く、結果がどうなるのか心配で治療に踏み出せないという方が多くいらっしゃいます。
しかし、歯並びや噛み合わせが整うと、見た目はもちろんのこと、自信にもつながり人生が明るくなります。
また、当院のマウスピース矯正(インビザライン矯正)は「デンツプライ VPro」を導入しています。
高周波振動によって歯の動きが加速され、治療期間が短縮される可能性があります(最大64%と報告されたデータもあります)。
最大治療実績も豊富であり、多くの患者様に満足していただいているので、矯正歯科治療を始めたいと考えている方はお気軽に当院までご相談ください。
目的・シーン別の矯正歯科治療の特徴
一生に一度の瞬間を、最高の笑顔にする。
矯正歯科の認定医が全ての矯正治療を担当
矯正歯科治療5601症例以上
1日2名限定の特別な矯正相談を実施中
矯正歯科治療は、結婚式や就職などの人生の節目、またスポーツのパフォーマンス向上や仕事でのセルフブランディングなど、様々な目的で行う「価値ある自己投資」です。
アイル矯正歯科では、日本矯正歯科学会認定医が、見た目の美しさはもちろん噛み合わせまで綿密に設計します。
VProによる期間短縮や、目立たず着脱可能なマウスピース矯正など、イベントやライフスタイルに合わせた最適な治療をご提案します。
まずはお気軽にアイル矯正歯科へご相談ください。
アイル矯正歯科 日本矯正歯科学会認定医
院長三上 智彦
Mikami Tomohiko
私の原点は、幼少期の実体験にあります。 多くの患者様と向き合い確信したのは、「歯並びの真価は未来に現れる」ということ。年齢を重ねてから歯を失い、後悔する方を一人でも減らしたいのです。矯正は「今の笑顔」と「未来の健康」への投資です。一生に一度の晴れ舞台を最高のものにし、その先も生涯ご自身の歯で過ごせるように。数十年先まで見据えた治療で、あなたの人生に寄り添います。
| 月 | 火 | 水 | 木 | 金 | 土 | 日 | |
|---|---|---|---|---|---|---|---|
| 11:00~12:30 |
|
![]() |
※ | ※ |
|
|
休 |
| 14:30~19:30 |
|
![]() |
※ | ※ |
|
|
休 |
水曜・木曜は休診日交替制
土曜は10:00~11:30 / 13:30~18:30
日曜・祝日は休診日
無料専用駐車場を完備※当院南隣(川沿い)の『ユアーズパーク』内
名鉄『東岡崎』駅より徒歩8分
JR『岡崎』駅より康生町方面行殿橋バス停下車30秒
Web予約上で空きがなくても対応できる場合もございますので、 ご希望の日時に空きがない場合はお電話下さい。
当院では、クレジットカードの使用、分割払い、ローンでのお支払いが可能です。
※保険診療費のお支払いにはカード、ローンのご利用ができません。